The ANGPT2 Monoclonal Antibody (CAB11306) is a high-quality antibody developed for reliable detection and analysis of target proteins. This antibody, produced in rabbits, is highly specific for Angpt2 and has been validated for use in various applications, including Western blot and immunohistochemistry.Angpt2 is a secreted protein that functions as an antagonist of Angiopoietin 1, promoting vascular destabilization and pathological angiogenesis. It is involved in various biological processes, including tumor angiogenesis, inflammation, and tissue repair. The Angpt2 Rabbit Monoclonal Antibody enables precise detection and analysis of Angpt2 protein levels in different cell types and tissues, making it an essential tool for researchers in the fields of vascular biology, cancer research, and inflammation.
This antibody is validated for use in WB, IHC-P, ELISA applications and has demonstrated reactivity against Human, Mouse, Rat samples.
Product Name:
ANGPT2 Monoclonal Antibody
SKU:
CAB11306
Size:
20μL, 100μL
Reactivity:
Human, Mouse, Rat
Clone Number:
ARC0571
Conjugate:
Unconjugated
Immunogen:
Synthetic peptide. This information is considered to be commercially sensitive.
Recommended starting concentration is 1 μg/mL. Please optimize the concentration based on your specific assay requirements.
Synonyms:
ANG2, AGPT2, LMPHM10, ANGPT2
Positive Sample:
A-549, HUVEC, Mouse lung, Mouse heart
Cellular Localization:
Secreted.
Calculated MW:
57kDa
Observed MW:
57kDa
This gene belongs to the angiopoietin family of growth factors. The protein encoded by this gene is an antagonist of angiopoietin 1, and both angiopoietin 1 and angiopoietin 2 are ligands for the endothelial TEK receptor tyrosine kinase. Angiopoietin 2 is upregulated in multiple inflammatory diseases and is implicated in the direct control of inflammation-related signaling pathways. The encoded protein affects angiogenesis during embryogenesis and tumorigenesis, disrupts the vascular remodeling ability of angiopoietin 1, and may induce endothelial cell apoptosis. This gene serves a prognostic biomarker for acute respiratory distress syndrome.
Purification Method
Affinity purification
Gene ID
285
RRID
AB_2861543
Buffer Information
Store at -20℃. Avoid freeze / thaw cycles. Buffer: PBS containing 50% glycerol and 0.05% BSA, preserved with proclin300 or sodium azide, pH 7.3.
Western blot analysis of various lysates using ANGPT2 Rabbit mAb (CAB11306) at 1:1000 dilution. Secondary antibody: HRP-conjugated Goat anti-Rabbit IgG (H+L) (CABS014) at 1:10000 dilution. Lysates/proteins: 25μg per lane. Blocking buffer: 3% nonfat dry milk in TBST. Detection: ECL Basic Kit (AbGn00020). Exposure time: 10s.
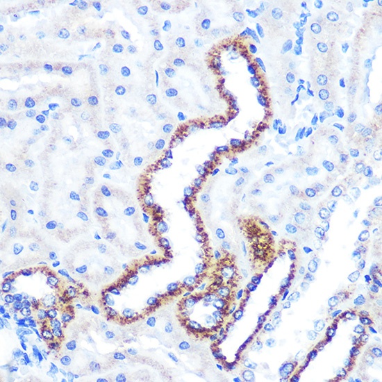
Immunohistochemistry analysis of paraffin-embedded Rat kidney tissue using ANGPT2 Rabbit mAb (CAB11306) at dilution of 1:100 (40x lens). Microwave antigen retrieval performed with 0.01M PBS Buffer (pH 7.2) prior to IHC staining.