The ANKLE2 Antibody (CAB17654) is a high-quality antibody developed for reliable detection and analysis of target proteins. This antibody, produced in rabbits, exhibits high specificity and reactivity with human samples, making it an invaluable resource for Western blot applications. By targeting the Ankle2 protein, this antibody allows for precise detection and analysis in a variety of cell types, making it perfect for investigations in immunology and cancer research.Ankle2, also known as a crucial regulator of immune responses, plays a significant role in maintaining immune balance by modulating inflammatory processes and suppressing immune reactions.
This antibody is validated for use in WB, IHC-P, ELISA applications and has demonstrated reactivity against Human, Mouse, Rat samples.
Product Name:
ANKLE2 Antibody
SKU:
CAB17654
Size:
20μL, 100μL
Reactivity:
Human, Mouse, Rat
Conjugate:
Unconjugated
Immunogen:
Recombinant protein (or fragment).This information is considered to be commercially sensitive.
Recommended starting concentration is 1 μg/mL. Please optimize the concentration based on your specific assay requirements.
Synonyms:
Lem4, LEMD7, MCPH16, KIAA0692, ANKLE2
Positive Sample:
U-87MG, Jurkat, HeLa
Cellular Localization:
Endoplasmic Reticulum.
Calculated MW:
104kDa
Observed MW:
104kDa
This gene encodes a member of the LEM family of inner nuclear membrane proteins. The encoded protein functions as a mitotic regulator through postmitotic formation of the nuclear envelope. Mutations in this gene cause morphology defects in the nuclear envelope and BAF hyperphosphorylation.
Purification Method
Affinity purification
Gene ID
23141
RRID
AB_2768366
Buffer Information
Store at -20℃. Avoid freeze / thaw cycles. Buffer: PBS with 0.01% thimerosal,50% glycerol,pH7.3.
Western blot analysis of various lysates using ANKLE2 Rabbit pAb (CAB17654) at 1:1000 dilution. Secondary antibody: HRP-conjugated Goat anti-Rabbit IgG (H+L) (CABS014) at 1:10000 dilution. Lysates/proteins: 25μg per lane. Blocking buffer: 3% nonfat dry milk in TBST. Detection: ECL Basic Kit (AbGn00020). Exposure time: 10s.
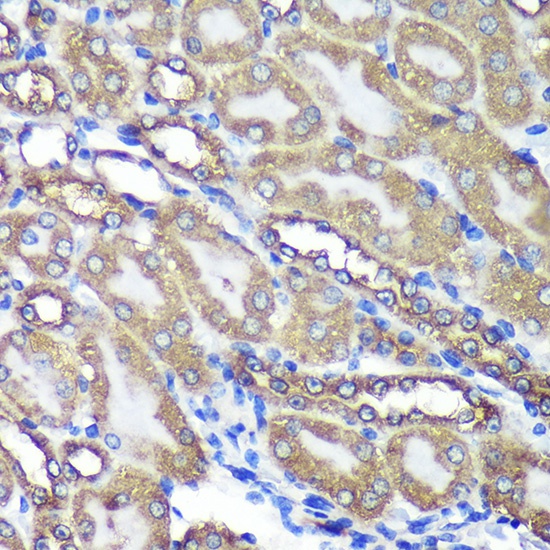
Immunohistochemistry analysis of paraffin-embedded Mouse kidney using ANKLE2 Rabbit pAb (CAB17654) at dilution of 1:100 (40x lens). Microwave antigen retrieval performed with 0.01M PBS Buffer (pH 7.2) prior to IHC staining.
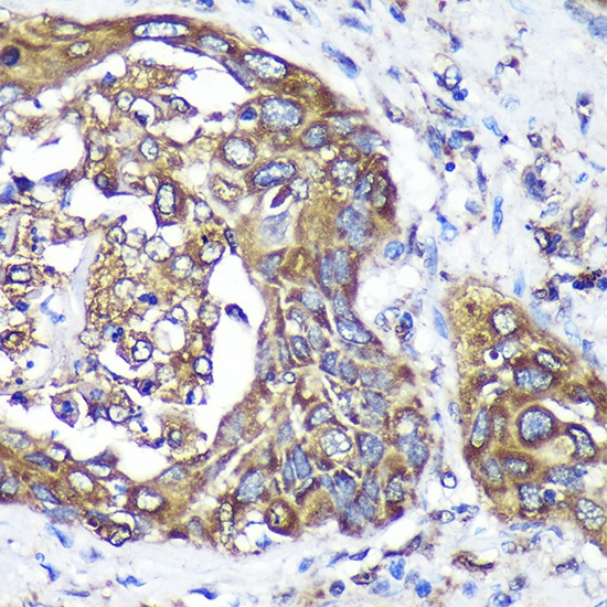
Immunohistochemistry analysis of paraffin-embedded Human lung cancer using ANKLE2 Rabbit pAb (CAB17654) at dilution of 1:100 (40x lens). Microwave antigen retrieval performed with 0.01M PBS Buffer (pH 7.2) prior to IHC staining.