The ABCA8A Antibody (CAB20496) is a high-quality antibody developed for reliable detection and analysis of target proteins. This antibody, produced through a unique monoclonal antibody development process, specifically targets the ABCA8A protein, allowing for accurate detection and analysis in a variety of experimental settings.ABCA8A is widely expressed in various tissues, with particularly high levels in liver and adipose tissue. Its involvement in lipid transport and metabolism suggests a potential role in metabolic disorders such as obesity and diabetes, making it a promising target for further investigation.
This antibody is validated for use in WB, IHC-P, ELISA applications and has demonstrated reactivity against Human, Mouse, Rat samples.
Product Name:
ABCA8A Antibody
SKU:
CAB20496
Size:
20μL, 100μL
Reactivity:
Human, Mouse, Rat
Conjugate:
Unconjugated
Immunogen:
Recombinant protein (or fragment).This information is considered to be commercially sensitive.
Predicted to enable ABC-type xenobiotic transporter activity and lipid transporter activity. Predicted to be involved in several processes, including cholesterol efflux; positive regulation of cholesterol efflux; and sphingomyelin biosynthetic process. Predicted to be located in endoplasmic reticulum and plasma membrane. Predicted to be active in intracellular membrane-bounded organelle. Is expressed in telencephalon. Orthologous to human ABCA8 (ATP binding cassette subfamily A member 8).
Purification Method
Affinity purification
Gene ID
217258
Buffer Information
Store at -20℃. Avoid freeze / thaw cycles. Buffer: PBS containing 50% glycerol, preserved with proclin300 or sodium azide, pH 7.3.
Western blot analysis of various lysates using ABCA8A Rabbit pAb (CAB20496) at 1:1000 dilution. Secondary antibody: HRP-conjugated Goat anti-Rabbit IgG (H+L) (CABS014) at 1:10000 dilution. Lysates/proteins: 25μg per lane. Blocking buffer: 3% nonfat dry milk in TBST. Detection: ECL Basic Kit (AbGn00020). Exposure time: 10s.
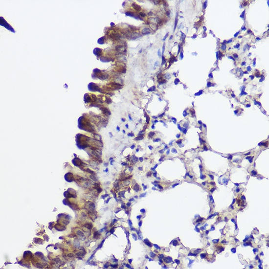
Immunohistochemistry analysis of paraffin-embedded Mouse lung using ABCA8A Rabbit pAb (CAB20496) at dilution of 1:100 (40x lens). High pressure antigen retrieval performed with 0.01M Citrate buffer (pH 6.0) prior to IHC staining.