The Arginase 2 (ARG2) Monoclonal Antibody (CAB19233) is a high-quality antibody developed for reliable detection and analysis of target proteins. The antibody, produced in rabbits, shows high reactivity with human samples and has been validated for use in Western blot applications. It specifically binds to the ARG2 protein, allowing for accurate detection and analysis in various cell types, making it ideal for studies in metabolism, immunology, and cancer research.
This antibody is validated for use in WB, IHC-P, ELISA applications and has demonstrated reactivity against Human samples.
Product Name:
Arginase 2 (ARG2) Monoclonal Antibody
SKU:
CAB19233
Size:
20μL, 100μL
Reactivity:
Human
Clone Number:
ARC2391
Conjugate:
Unconjugated
Immunogen:
Synthetic peptide. This information is considered to be commercially sensitive.
Recommended starting concentration is 1 μg/mL. Please optimize the concentration based on your specific assay requirements.
Synonyms:
ARG2, arginase 2, Arginase 2 (ARG2)
Positive Sample:
293T
Cellular Localization:
Mitochondrion.
Calculated MW:
39kDa
Observed MW:
39kDa
Arginase catalyzes the hydrolysis of arginine to ornithine and urea. At least two isoforms of mammalian arginase exists (types I and II) which differ in their tissue distribution, subcellular localization, immunologic crossreactivity and physiologic function. The type II isoform encoded by this gene, is located in the mitochondria and expressed in extra-hepatic tissues, especially kidney. The physiologic role of this isoform is poorly understood; it is thought to play a role in nitric oxide and polyamine metabolism. Transcript variants of the type II gene resulting from the use of alternative polyadenylation sites have been described.
Purification Method
Affinity purification
Gene ID
384
Buffer Information
Store at -20℃. Avoid freeze / thaw cycles. Buffer: PBS containing 50% glycerol and 0.05% BSA, preserved with proclin300 or sodium azide, pH 7.3.
Western blot analysis of lysates from 293T cells, using Arginase 2 (ARG2) Rabbit mAb (CAB19233) at 1:1000 dilution. Secondary antibody: HRP-conjugated Goat anti-Rabbit IgG (H+L) (CABS014) at 1:10000 dilution. Lysates/proteins: 25μg per lane. Blocking buffer: 3% nonfat dry milk in TBST. Detection: ECL Basic Kit (AbGn00020). Exposure time: 180s.
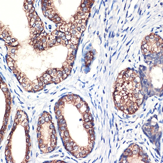
Immunohistochemistry analysis of paraffin-embedded Human prostate cancer using Arginase 2 (Arginase 2 (ARG2)) Rabbit mAb (CAB19233) at dilution of 1:100 (40x lens). High pressure antigen retrieval performed with 0.01M Citrate buffer (pH 6.0) prior to IHC staining.