Arginase-2 (ARG2) is a member of the arginase family. Arginase is a manganese-containing enzyme which catalyzes the hydrolysis of arginine to ornithine and urea. ARG2 is highly expressed in kidney and prostate, not founded in the liver, heart and pancreas. ARG2 has been implicated in the regulation of the arginine/ornithine concentrations in the cell. ARG2 may take part in the regulation of extra-urea cycle arginine metabolism and in down-regulation of nitric oxide synthesis. The extrahepatic arginase functions to regulate L-arginine bioavailability to NO synthase.
Product Name:
Human Arginase-2/ARG2 Recombinant Protein (RPES2967)
Product Code:
RPES2967
Size:
10µg
Species:
Human
Expressed Host:
E.coli
Synonyms:
Arginase-2, mitochondrial, Kidney-type arginase, Non-hepatic arginase, Type II arginase, ARG2
Accession:
P78540
Sequence:
His24-Gly330
Fusion tag:
N-6His
Endotoxin:
<1.0 EU per µg as determined by the LAL method.
Protein Construction:
Recombinant Human Arginase-2, mitochondrial is produced by our E.coli expression system and the target gene encoding His24-Gly330 is expressed with a 6His tag at the C-terminus.
Purity:
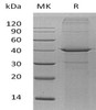
> 95 % as determined by reducing SDS-PAGE.
Mol Mass:
34.2 kDa
AP Mol Mass:
33 kDa
Formulation:
Supplied as a 0.2 µm filtered solution of 10mM TrisHCl,10mM NaCl,1mM ?-mercaptoethanol,pH7.5.
Shipping:
This product is provided as liquid. It is shipped at frozen temperature with blue ice/gel packs.Upon receipt, store it immediately at<-20°C.
Stability and Storage:
Store at < -20°C, stable for 6 months. Please minimize freeze-thaw cycles.