The BANF1 Monoclonal Antibody (CAB3726) is a high-quality antibody developed for reliable detection and analysis of target proteins. The protein encoded by this gene was first identified by its ability to protect retroviruses from intramolecular integration and therefore promote intermolecular integration into the host cell genome. The protein forms a homodimer which localizes to both the nucleus and cytoplasm and is specifically associated with chromosomes during mitosis. This protein binds to double stranded DNA in a non-specific manner and also binds to LEM-domain containing proteins of the nuclear envelope. This protein is thought to facilitate nuclear reassembly by binding with both DNA and inner nuclear membrane proteins and thereby recruit chromatin to the nuclear periphery. Alternative splicing results in multiple transcript variants encoding the same protein.
This antibody is validated for use in WB, IHC-P, IF/ICC, ELISA applications and has demonstrated reactivity against Human, Mouse, Rat samples.
Product Name:
BANF1 Monoclonal Antibody
SKU:
CAB3726
Size:
100μL, 20μL
Reactivity:
Human, Mouse, Rat
Clone Number:
ARC2085
Conjugate:
Unconjugated
Immunogen:
Synthetic peptide. This information is considered to be commercially sensitive.
Tested Applications:
WBIHC-PIF/ICCELISA
Recommended Dilution:
WB
1:1000 - 1:2000
IHC-P
1:200 - 1:800
IF/ICC
1:50 - 1:200
ELISA
Recommended starting concentration is 1 μg/mL. Please optimize the concentration based on your specific assay requirements.
Synonyms:
BAF, NGPS, BCRP1, D14S1460, BANF1
Positive Sample:
HeLa, 293T
Cellular Localization:
Nucleus, Cytoplasm, Chromosome.
Calculated MW:
10kDa
Observed MW:
10kDa
The protein encoded by this gene was first identified by its ability to protect retroviruses from intramolecular integration and therefore promote intermolecular integration into the host cell genome. The protein forms a homodimer which localizes to both the nucleus and cytoplasm and is specifically associated with chromosomes during mitosis. This protein binds to double stranded DNA in a non-specific manner and also binds to LEM-domain containing proteins of the nuclear envelope. This protein is thought to facilitate nuclear reassembly by binding with both DNA and inner nuclear membrane proteins and thereby recruit chromatin to the nuclear periphery. Alternative splicing results in multiple transcript variants encoding the same protein.
Purification Method
Affinity purification
Gene ID
8815
Buffer Information
Store at -20℃. Avoid freeze / thaw cycles. Buffer: PBS containing 50% glycerol and 0.05% BSA, preserved with proclin300 or sodium azide, pH 7.3.
Western blot analysis of various lysates using BANF1 Rabbit mAb (CAB3726) at 1:1000 dilution. Secondary antibody: HRP-conjugated Goat anti-Rabbit IgG (H+L) (AS014) at 1:10000 dilution. Lysates/proteins: 25μg per lane. Blocking buffer: 3% nonfat dry milk in TBST. Detection: ECL Basic Kit (AbGn00020). Exposure time: 60s.
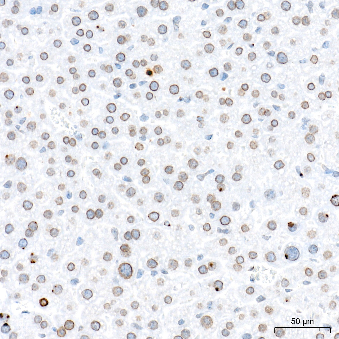
Immunohistochemistry analysis of paraffin-embedded Mouse liver tissue using BANF1 Rabbit mAb (CAB3726) at a dilution of 1:500 (40x lens). High pressure antigen retrieval performed with 0.01M Tris-EDTA Buffer (pH 9.0) prior to IHC staining.
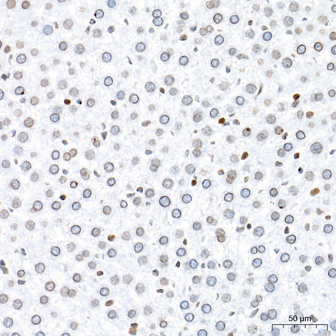
Immunohistochemistry analysis of paraffin-embedded Rat liver tissue using BANF1 Rabbit mAb (CAB3726) at a dilution of 1:500 (40x lens). High pressure antigen retrieval performed with 0.01M Tris-EDTA Buffer (pH 9.0) prior to IHC staining.
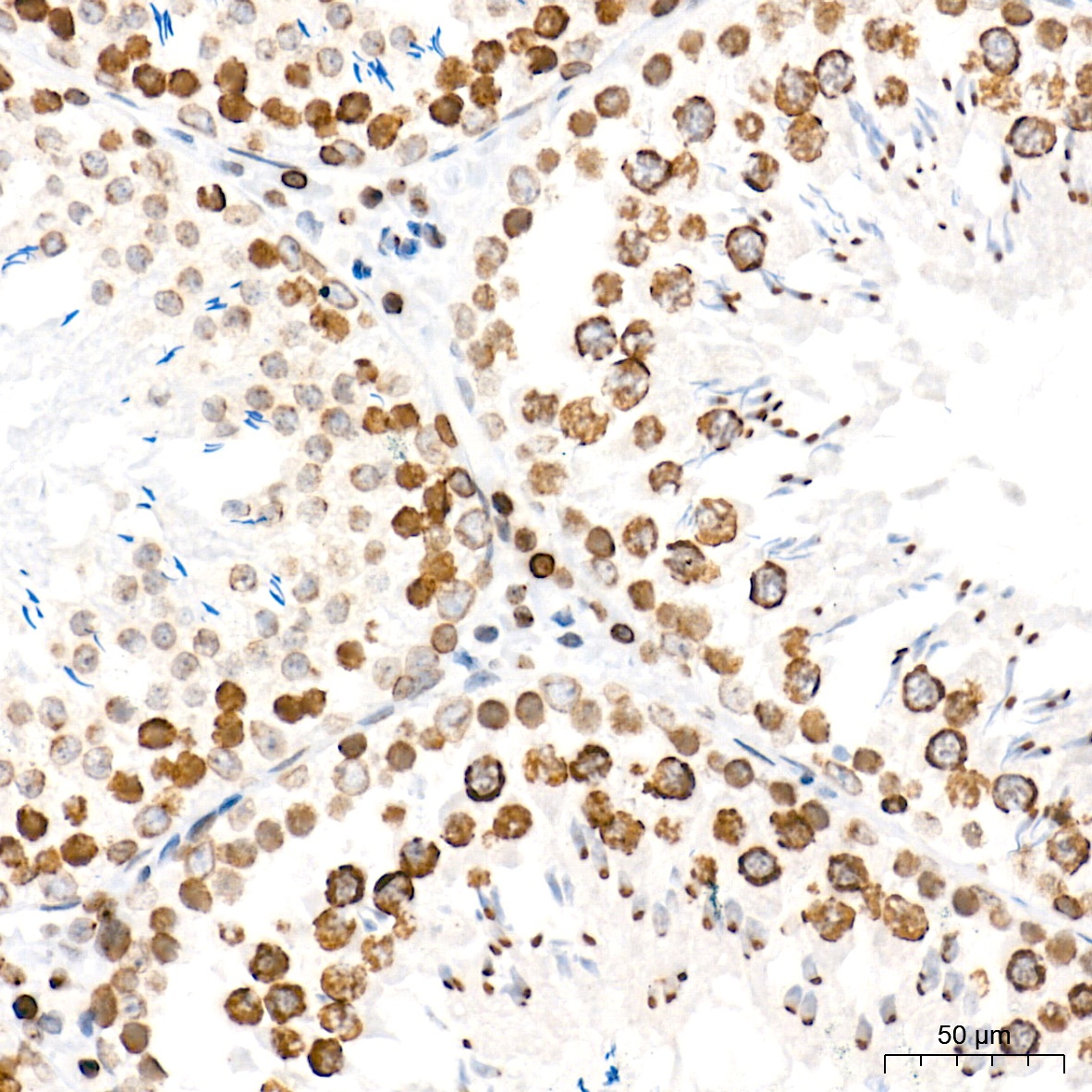
Immunohistochemistry analysis of paraffin-embedded Rat testis tissue using BANF1 Rabbit mAb (CAB3726) at a dilution of 1:500 (40x lens). High pressure antigen retrieval performed with 0.01M Tris-EDTA Buffer (pH 9.0) prior to IHC staining.