The UBE4B Monoclonal Antibody (CAB0419) is a high-quality antibody developed for reliable detection and analysis of target proteins. This polyclonal antibody, generated in rabbits, exhibits high reactivity with human samples and has been validated for use in Western blot applications. UBE4B, also known as U-box domain-containing protein 4B, plays a crucial role in targeting proteins for degradation through the ubiquitin-proteasome pathway. Dysregulation of UBE4B has been implicated in various diseases, including cancer and neurodegenerative disorders.
This antibody is validated for use in WB, ELISA applications and has demonstrated reactivity against Human, Mouse, Rat samples.
Product Name:
UBE4B Monoclonal Antibody
SKU:
CAB0419
Size:
20μL, 100μL
Reactivity:
Human, Mouse, Rat
Clone Number:
ARC2503
Conjugate:
Unconjugated
Immunogen:
Synthetic peptide. This information is considered to be commercially sensitive.
Recommended starting concentration is 1 μg/mL. Please optimize the concentration based on your specific assay requirements.
Synonyms:
E4, UFD2, HDNB1, UBOX3, UFD2A, UBE4B
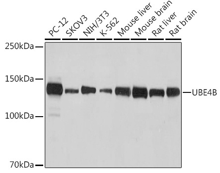
Positive Sample:
SKOV3, K-562, NIH/3T3, Mouse liver, Mouse brain, PC-12, Rat liver, Rat brain
Cellular Localization:
Cytoplasm, Nucleus.
Calculated MW:
146kDa
Observed MW:
146kDa
The modification of proteins with ubiquitin is an important cellular mechanism for targeting abnormal or short-lived proteins for degradation. Ubiquitination involves at least three classes of enzymes: ubiquitin-activating enzymes, or E1s, ubiquitin-conjugating enzymes, or E2s, and ubiquitin-protein ligases, or E3s. This gene encodes an additional conjugation factor, E4, which is involved in multiubiquitin chain assembly. This gene is also the strongest candidate in the neuroblastoma tumor suppressor genes. Alternatively spliced transcript variants encoding distinct isoforms have been found for this gene.
Purification Method
Affinity purification
Gene ID
10277
Buffer Information
Store at -20℃. Avoid freeze / thaw cycles. Buffer: PBS containing 50% glycerol and 0.05% BSA, preserved with proclin300 or sodium azide, pH 7.3.
Western blot analysis of various lysates using UBE4B Rabbit mAb (CAB0419) at 1:1000 dilution. Secondary antibody: HRP-conjugated Goat anti-Rabbit IgG (H+L) (CABS014) at 1:10000 dilution. Lysates/proteins: 25μg per lane. Blocking buffer: 3% nonfat dry milk in TBST. Detection: ECL Basic Kit (AbGn00020). Exposure time: 60s.