The PRP19 Monoclonal Antibody (CAB9660) is a high-quality antibody developed for reliable detection and analysis of target proteins. This antibody, produced in rabbits, is highly specific and reactive with human samples, making it suitable for Western blot and immunofluorescence applications.PRP19, also known as pre-mRNA processing factor 19, is essential for maintaining genome stability and proper gene expression. Dysregulation of PRP19 has been implicated in a variety of diseases, including cancer and neurodegenerative disorders.
This antibody is validated for use in WB, IHC-P, IF/ICC, ELISA applications and has demonstrated reactivity against Human, Mouse, Rat samples.
Product Name:
PRP19 Monoclonal Antibody
SKU:
CAB9660
Size:
20μL, 100μL
Reactivity:
Human, Mouse, Rat
Clone Number:
ARC1685
Conjugate:
Unconjugated
Immunogen:
Recombinant protein (or fragment).This information is considered to be commercially sensitive.
Enables identical protein binding activity and ubiquitin-ubiquitin ligase activity. Involved in several processes, including DNA damage checkpoint signaling; cellular protein metabolic process; and mRNA splicing, via spliceosome. Acts upstream of or within protein polyubiquitination. Located in cytoplasm; nuclear speck; and site of double-strand break. Part of Prp19 complex and U2-type catalytic step 2 spliceosome. Colocalizes with DNA replication factor A complex.
Purification Method
Affinity purification
Gene ID
27339
RRID
AB_2863752
Buffer Information
Store at -20℃. Avoid freeze / thaw cycles. Buffer: PBS containing 50% glycerol and 0.05% BSA, preserved with proclin300 or sodium azide, pH 7.3.
Western blot analysis of various lysates using PRP19 Rabbit mAb (CAB9660) at 1:1000 dilution. Secondary antibody: HRP-conjugated Goat anti-Rabbit IgG (H+L) (CABS014) at 1:10000 dilution. Lysates/proteins: 25μg per lane. Blocking buffer: 3% nonfat dry milk in TBST. Detection: ECL Basic Kit (AbGn00020). Exposure time: 10s.
Immunohistochemistry analysis of paraffin-embedded Mouse intestin tissue using PRP19 Rabbit mAb (CAB9660) at a dilution of 1:200 (40x lens). High pressure antigen retrieval was performed with 0.01 M citrate buffer (pH 6.0) prior to IHC staining.
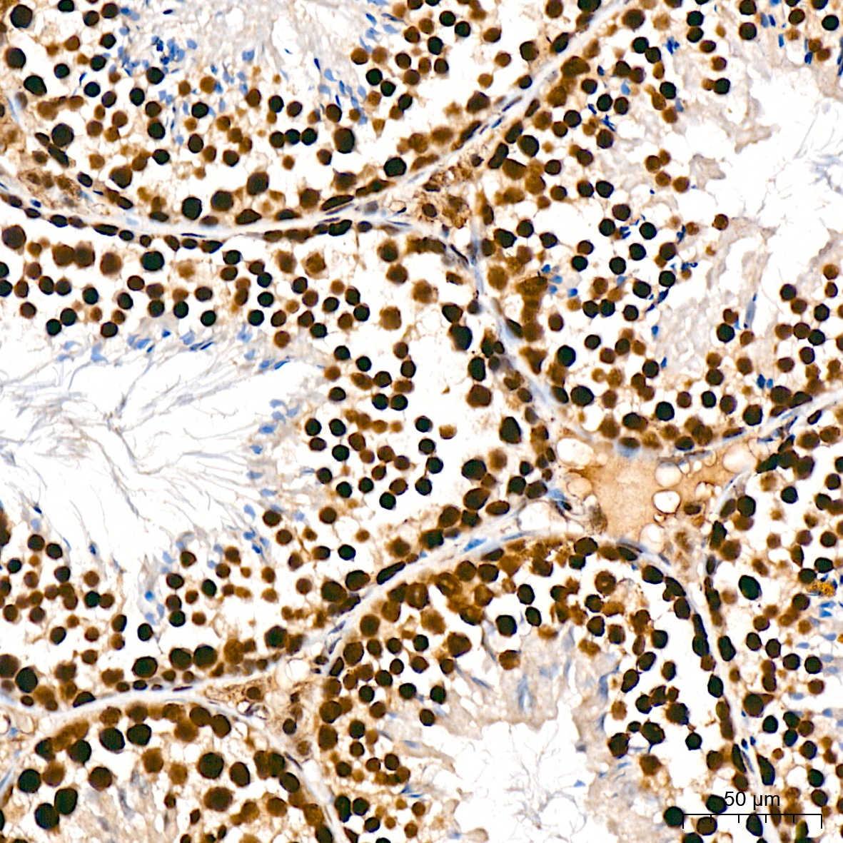
Immunohistochemistry analysis of paraffin-embedded Mouse testis tissue using PRP19 Rabbit mAb (CAB9660) at a dilution of 1:200 (40x lens). High pressure antigen retrieval was performed with 0.01 M citrate buffer (pH 6.0) prior to IHC staining.
Immunohistochemistry analysis of paraffin-embedded Rat colon tissue using PRP19 Rabbit mAb (CAB9660) at a dilution of 1:200 (40x lens). High pressure antigen retrieval was performed with 0.01 M citrate buffer (pH 6.0) prior to IHC staining.
Immunofluorescence analysis of U-2 OS cells using PRP19 Rabbit mAb (CAB9660) at dilution of 1:100 (40x lens). Secondary antibody: Cy3-conjugated Goat anti-Rabbit IgG (H+L) (CABS007) at 1:500 dilution. Blue: DAPI for nuclear staining.