The eIF2A Monoclonal Antibody (CAB9709) is a high-quality antibody developed for reliable detection and analysis of target proteins. This antibody, produced in rabbits, exhibits high specificity for human samples and has been rigorously validated for Western blot applications.eIF2A is an essential factor in protein synthesis, controlling the initiation of translation in response to various cellular stresses. Dysregulation of eIF2A activity has been implicated in a wide range of diseases, including cancer, neurodegenerative disorders, and viral infections.
This antibody is validated for use in WB, IHC-P, ELISA applications and has demonstrated reactivity against Human, Mouse, Rat samples.
Product Name:
eIF2A Monoclonal Antibody
SKU:
CAB9709
Size:
20μL, 100μL
Reactivity:
Human, Mouse, Rat
Clone Number:
ARC1712
Conjugate:
Unconjugated
Immunogen:
Synthetic peptide. This information is considered to be commercially sensitive.
This gene encodes a eukaryotic translation initiation factor that catalyzes the formation of puromycin-sensitive 80 S preinitiation complexes and the poly(U)-directed synthesis of polyphenylalanine at low concentrations of Mg2+. This gene should not be confused with eIF2-alpha (EIF2S1, Gene ID: 1965), the alpha subunit of the eIF2 translation initiation complex. Although both of these proteins function in binding initiator tRNA to the 40 S ribosomal subunit, the encoded protein does so in a codon-dependent manner, whereas eIF2 complex requires GTP. Alternative splicing of this gene results in multiple transcript variants encoding different isoforms.
Purification Method
Affinity purification
Gene ID
83939
RRID
AB_2863762
Buffer Information
Store at -20℃. Avoid freeze / thaw cycles. Buffer: PBS containing 50% glycerol and 0.05% BSA, preserved with proclin300 or sodium azide, pH 7.3.
Western blot analysis of various lysates using eIF2A Rabbit mAb (CAB9709) at 1:1000 dilution. Secondary antibody: HRP-conjugated Goat anti-Rabbit IgG (H+L) (CABS014) at 1:10000 dilution. Lysates/proteins: 25μg per lane. Blocking buffer: 3% nonfat dry milk in TBST. Detection: ECL Basic Kit (AbGn00020). Exposure time: 90s.
Western blot analysis of lysates from Rat lung, using eIF2A Rabbit mAb (CAB9709) at 1:1000 dilution. Secondary antibody: HRP-conjugated Goat anti-Rabbit IgG (H+L) (CABS014) at 1:10000 dilution. Lysates/proteins: 25μg per lane. Blocking buffer: 3% nonfat dry milk in TBST. Detection: ECL Enhanced Kit (AbGn00021). Exposure time: 3min.
Immunohistochemistry analysis of paraffin-embedded Mouse testis using eIF2A Rabbit mAb (CAB9709) at dilution of 1:100 (40x lens). Microwave antigen retrieval performed with 0.01M Tris/EDTA Buffer (pH 9.0) prior to IHC staining.
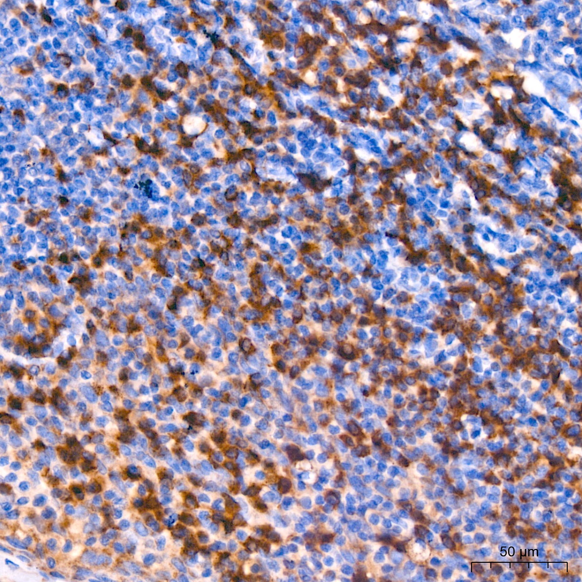
Immunohistochemistry analysis of paraffin-embedded Human tonsil tissue using eIF2A Rabbit mAb (CAB9709) at a dilution of 1:200 (40x lens). High pressure antigen retrieval performed with 0.01M Tris-EDTA Buffer (pH 9.0) prior to IHC staining.
Immunohistochemistry analysis of paraffin-embedded Rat liver tissue using eIF2A Rabbit mAb (CAB9709) at a dilution of 1:200 (40x lens). High pressure antigen retrieval performed with 0.01M Tris-EDTA Buffer (pH 9.0) prior to IHC staining.