The c-Maf Monoclonal Antibody (CAB3361) is a high-quality antibody developed for reliable detection and analysis of target proteins. Raised in rabbits, this antibody is highly specific to human samples and has been validated for use in Western blot applications. By binding to the C-Maf protein, this antibody allows for accurate detection and analysis in a variety of cell types, making it ideal for studies in immunology, oncology, and inflammatory diseases.C-Maf is known for its role in the differentiation and function of various immune cells, making it a key target for understanding the mechanisms underlying immune regulation.
This antibody is validated for use in WB, ELISA applications and has demonstrated reactivity against Human, Mouse, Rat samples.
Product Name:
c-Maf Monoclonal Antibody
SKU:
CAB3361
Size:
20μL, 100μL
Reactivity:
Human, Mouse, Rat
Clone Number:
ARC1954
Conjugate:
Unconjugated
Immunogen:
Synthetic peptide. This information is considered to be commercially sensitive.
Recommended starting concentration is 1 μg/mL. Please optimize the concentration based on your specific assay requirements.
Synonyms:
CCA4, AYGRP, c-MAF, CTRCT21, c-Maf
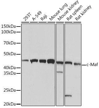
Positive Sample:
293T, A-549, Raji, Mouse lung, Mouse kidney, Rat spleen, Rat kidney
Cellular Localization:
Nucleus.
Calculated MW:
38kDa
Observed MW:
45kDa
The protein encoded by this gene is a DNA-binding, leucine zipper-containing transcription factor that acts as a homodimer or as a heterodimer. Depending on the binding site and binding partner, the encoded protein can be a transcriptional activator or repressor. This protein plays a role in the regulation of several cellular processes, including embryonic lens fiber cell development, increased T-cell susceptibility to apoptosis, and chondrocyte terminal differentiation. Defects in this gene are a cause of juvenile-onset pulverulent cataract as well as congenital cerulean cataract 4 (CCA4). Two transcript variants encoding different isoforms have been found for this gene.
Purification Method
Affinity purification
Gene ID
4094
RRID
AB_2863042
Buffer Information
Store at -20℃. Avoid freeze / thaw cycles. Buffer: PBS containing 50% glycerol and 0.05% BSA, preserved with proclin300 or sodium azide, pH 7.3.
Western blot analysis of various lysates using c-Maf Rabbit mAb (CAB3361) at 1:1000 dilution. Secondary antibody: HRP-conjugated Goat anti-Rabbit IgG (H+L) (CABS014) at 1:10000 dilution. Lysates/proteins: 25μg per lane. Blocking buffer: 3% nonfat dry milk in TBST. Detection: ECL Basic Kit (AbGn00020). Exposure time: 1s.