The Cathepsin B Monoclonal Antibody (CAB19005) is a high-quality antibody developed for reliable detection and analysis of target proteins. This polyclonal antibody, generated in rabbits, offers high specificity and sensitivity for detecting Cathepsin B in human samples, making it an invaluable tool for Western blot and immunohistochemistry applications.Cathepsin B is known for its role in protein degradation, antigen processing, and apoptosis, making it a key player in cellular homeostasis and disease pathology.
This antibody is validated for use in WB, IHC-P, ELISA applications and has demonstrated reactivity against Human samples.
Product Name:
Cathepsin B Monoclonal Antibody
SKU:
CAB19005
Size:
20μL, 100μL
Reactivity:
Human
Clone Number:
ARC0395
Conjugate:
Unconjugated
Immunogen:
Recombinant protein (or fragment).This information is considered to be commercially sensitive.
This gene encodes a member of the C1 family of peptidases. Alternative splicing of this gene results in multiple transcript variants. At least one of these variants encodes a preproprotein that is proteolytically processed to generate multiple protein products. These products include the cathepsin B light and heavy chains, which can dimerize to form the double chain form of the enzyme. This enzyme is a lysosomal cysteine protease with both endopeptidase and exopeptidase activity that may play a role in protein turnover. It is also known as amyloid precursor protein secretase and is involved in the proteolytic processing of amyloid precursor protein (APP). Incomplete proteolytic processing of APP has been suggested to be a causative factor in Alzheimer's disease, the most common cause of dementia. Overexpression of the encoded protein has been associated with esophageal adenocarcinoma and other tumors. Both Cathepsin B and Cathepsin L are involved in the cleavage of the spike protein from the severe acute respiratory syndrome coronavirus 2 (SARS-CoV-2) upon its entry to the human host cell. Multiple pseudogenes of this gene have been identified.
Purification Method
Affinity purification
Gene ID
1508
RRID
AB_2862497
Buffer Information
Store at -20℃. Avoid freeze / thaw cycles. Buffer: PBS containing 50% glycerol and 0.05% BSA, preserved with proclin300 or sodium azide, pH 7.3.
Western blot analysis of lysates from HepG2 cells using Cathepsin B Rabbit mAb (CAB19005) at 1:1000 dilution incubated overnight at 4℃. Secondary antibody: HRP-conjugated Goat anti-Rabbit IgG (H+L) (CABS014) at 1:10000 dilution. Lysates/proteins: 25μg per lane. Blocking buffer: 3% nonfat dry milk in TBST. Detection: ECL Basic Kit (AbGn00020). Exposure time: 1min.
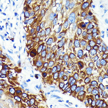
Immunohistochemistry analysis of paraffin-embedded Human lung cancer tissue using Cathepsin B Rabbit mAb (CAB19005) at a dilution of 1:100 (40x lens). Microwave antigen retrieval performed with 0.01M PBS Buffer (pH 7.2) prior to IHC staining.