The CHMP2B Monoclonal Antibody (CAB19244) is a high-quality antibody developed for reliable detection and analysis of target proteins. This antibody, produced in rabbits, is highly specific to human samples and is recommended for use in Western blot applications. By binding to the CHMP2B protein, this antibody enables the detection and analysis of CHMP2B in various cell types, making it ideal for research in cell biology and neurodegenerative diseases.CHMP2B is a key player in the ESCRT pathway, which is responsible for sorting and trafficking proteins within cells.
This antibody is validated for use in WB, IHC-P, ELISA applications and has demonstrated reactivity against Human, Mouse, Rat samples.
Product Name:
CHMP2B Monoclonal Antibody
SKU:
CAB19244
Size:
20μL, 100μL
Reactivity:
Human, Mouse, Rat
Clone Number:
ARC2404
Conjugate:
Unconjugated
Immunogen:
Synthetic peptide. This information is considered to be commercially sensitive.
Cytoplasm, Late Endosome Membrane, Peripheral Membrane Protein, Cytosol.
Calculated MW:
24kDa
Observed MW:
28kDa
This gene encodes a component of the heteromeric ESCRT-III complex (Endosomal Sorting Complex Required for Transport III) that functions in the recycling or degradation of cell surface receptors. ESCRT-III functions in the concentration and invagination of ubiquitinated endosomal cargos into intralumenal vesicles. The protein encoded by this gene is found as a monomer in the cytosol or as an oligomer in ESCRT-III complexes on endosomal membranes. It is expressed in neurons of all major regions of the brain. Mutations in this gene result in one form of familial frontotemporal lobar degeneration.
Purification Method
Affinity purification
Gene ID
25978
Buffer Information
Store at -20℃. Avoid freeze / thaw cycles. Buffer: PBS containing 50% glycerol and 0.05% BSA, preserved with proclin300 or sodium azide, pH 7.3.
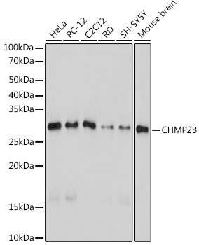
Western blot analysis of various lysates using CHMP2B Rabbit mAb (CAB19244) at 1:1000 dilution. Secondary antibody: HRP-conjugated Goat anti-Rabbit IgG (H+L) (CABS014) at 1:10000 dilution. Lysates/proteins: 25μg per lane. Blocking buffer: 3% nonfat dry milk in TBST. Detection: ECL Basic Kit (AbGn00020). Exposure time: 10s.
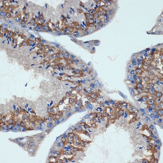
Immunohistochemistry analysis of paraffin-embedded Mouse testis using CHMP2B Rabbit mAb (CAB19244) at dilution of 1:100 (40x lens). Microwave antigen retrieval performed with 0.01M Tris/EDTA Buffer (pH 9.0) prior to IHC staining.