The CTIP2/BCL11B Monoclonal Antibody (CAB19804) is a high-quality antibody developed for reliable detection and analysis of target proteins. The antibody, produced in rabbits, is highly specific to human samples and has been validated for use in Western blot applications.CTIP2/Bcl11b is a transcription factor that plays a key role in regulating gene expression in immune cells, specifically in T cell development and function. It is also implicated in cancer progression and neurodevelopmental disorders.
This antibody is validated for use in WB, IHC-P, ELISA applications and has demonstrated reactivity against Human, Mouse samples.
Product Name:
CTIP2/BCL11B Monoclonal Antibody
SKU:
CAB19804
Size:
20μL, 100μL
Reactivity:
Human, Mouse
Clone Number:
ARC2329
Conjugate:
Unconjugated
Immunogen:
Synthetic peptide. This information is considered to be commercially sensitive.
This gene encodes a C2H2-type zinc finger protein and is closely related to BCL11A, a gene whose translocation may be associated with B-cell malignancies. Although the specific function of this gene has not been determined, the encoded protein is known to be a transcriptional repressor, and is regulated by the NURD nucleosome remodeling and histone deacetylase complex. Four alternatively spliced transcript variants encoding distinct isoforms have been found for this gene.
Purification Method
Affinity purification
Gene ID
64919
Buffer Information
Store at -20℃. Avoid freeze / thaw cycles. Buffer: PBS containing 50% glycerol and 0.05% BSA, preserved with proclin300 or sodium azide, pH 7.3.
Western blot analysis of various lysates using CTIP2/BCL11B Rabbit mAb (CAB19804) at 1:1000 dilution. Secondary antibody: HRP-conjugated Goat anti-Rabbit IgG (H+L) (CABS014) at 1:10000 dilution. Lysates/proteins: 25μg per lane. Blocking buffer: 3% nonfat dry milk in TBST. Detection: ECL Basic Kit (AbGn00020). Exposure time: 1s.
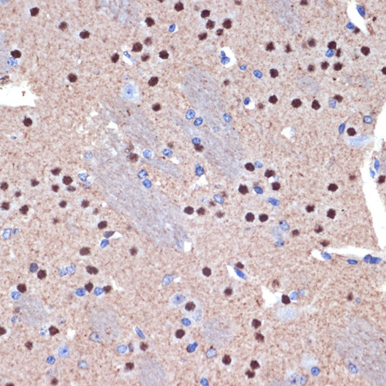
Immunohistochemistry analysis of paraffin-embedded Mouse brain using CTIP2/BCL11B Rabbit mAb (CAB19804) at dilution of 1:100 (40x lens). Microwave antigen retrieval performed with 0.01M Tris/EDTA Buffer (pH 9.0) prior to IHC staining.