The DEK Monoclonal Antibody (CAB0315) is a high-quality antibody developed for reliable detection and analysis of target proteins. This polyclonal antibody, generated in rabbits, is highly specific to human samples and has been validated for use in Western blot applications. The DEK protein is a nuclear phosphoprotein that has been implicated in various cellular processes, including chromatin remodeling, DNA repair, and mRNA splicing. Dysregulation of DEK has been associated with cancers, autoimmune diseases, and inflammatory conditions, highlighting its importance in disease pathology.
This antibody is validated for use in WB, IHC-P, IF/ICC, ELISA applications and has demonstrated reactivity against Human, Rat samples.
Product Name:
DEK Monoclonal Antibody
SKU:
CAB0315
Size:
20μL, 100μL
Reactivity:
Human, Rat
Clone Number:
ARC1825
Conjugate:
Unconjugated
Immunogen:
Recombinant protein (or fragment).This information is considered to be commercially sensitive.
This gene encodes a protein with one SAP domain. This protein binds to cruciform and superhelical DNA and induces positive supercoils into closed circular DNA, and is also involved in splice site selection during mRNA processing. Chromosomal aberrations involving this region, increased expression of this gene, and the presence of antibodies against this protein are all associated with various diseases. Two transcript variants encoding different isoforms have been found for this gene.
Purification Method
Affinity purification
Gene ID
7913
Buffer Information
Store at -20℃. Avoid freeze / thaw cycles. Buffer: PBS containing 50% glycerol and 0.05% BSA, preserved with proclin300 or sodium azide, pH 7.3.
Western blot analysis of various lysates using DEK Rabbit mAb (CAB0315) at 1:1000 dilution. Secondary antibody: HRP-conjugated Goat anti-Rabbit IgG (H+L) (CABS014) at 1:10000 dilution. Lysates/proteins: 25μg per lane. Blocking buffer: 3% nonfat dry milk in TBST. Detection: ECL Basic Kit (AbGn00020). Exposure time: 3s.
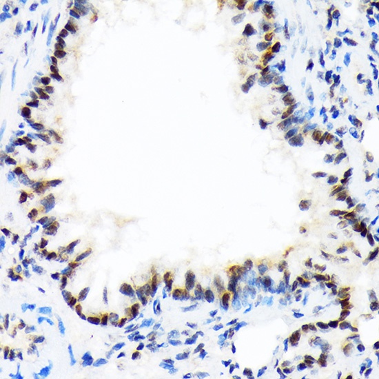
Immunohistochemistry analysis of paraffin-embedded Rat lung using DEK Rabbit mAb (CAB0315) at dilution of 1:100 (40x lens). Microwave antigen retrieval performed with 0.01M Tris/EDTA Buffer (pH 9.0) prior to IHC staining.
Immunofluorescence analysis of C6 cells using DEK Rabbit mAb (CAB0315) at dilution of 1:100 (40x lens). Secondary antibody: Cy3-conjugated Goat anti-Rabbit IgG (H+L) (CABS007) at 1:500 dilution. Blue: DAPI for nuclear staining.