The eIF2C3 Monoclonal Antibody (CAB19819) is a high-quality antibody developed for reliable detection and analysis of target proteins. This antibody, produced in rabbits, offers high reactivity with human samples and has been validated for use in Western blot applications. By binding specifically to the EIF2C3 protein, this antibody enables precise detection and analysis in various cell types, making it an essential component for studies in molecular biology and genetics.
This antibody is validated for use in WB, IHC-P, ELISA applications and has demonstrated reactivity against Human, Mouse, Rat samples.
Product Name:
eIF2C3 Monoclonal Antibody
SKU:
CAB19819
Size:
20μL, 100μL
Reactivity:
Human, Mouse, Rat
Clone Number:
ARC2345
Conjugate:
Unconjugated
Immunogen:
Recombinant protein (or fragment).This information is considered to be commercially sensitive.
This gene encodes a member of the Argonaute family of proteins which play a role in RNA interference. The encoded protein is highly basic, contains a PAZ domain and a PIWI domain, and may play a role in short-interfering-RNA-mediated gene silencing. This gene is located on chromosome 1 in a tandem cluster of closely related family members including argonaute 4 and eukaryotic translation initiation factor 2C, 1. Two transcript variants encoding distinct isoforms have been identified for this gene.
Purification Method
Affinity purification
Gene ID
192669
Buffer Information
Store at -20℃. Avoid freeze / thaw cycles. Buffer: PBS containing 50% glycerol and 0.05% BSA, preserved with proclin300 or sodium azide, pH 7.3.
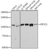
Western blot analysis of various lysates using eIF2C3 Rabbit mAb (CAB19819) at 1:1000 dilution. Secondary antibody: HRP-conjugated Goat anti-Rabbit IgG (H+L) (CABS014) at 1:10000 dilution. Lysates/proteins: 25μg per lane. Blocking buffer: 3% nonfat dry milk in TBST. Detection: ECL Basic Kit (AbGn00020). Exposure time: 180s.
Immunohistochemistry analysis of paraffin-embedded Human lung cancer using eIF2C3 Rabbit mAb (CAB19819) at dilution of 1:100 (40x lens). Microwave antigen retrieval performed with 0.01M Tris/EDTA Buffer (pH 9.0) prior to IHC staining.