The FAM160B2 Antibody (CAB18836) is a high-quality antibody developed for reliable detection and analysis of target proteins. This antibody, produced in rabbits, is highly specific for detecting FAM160B2 in human samples and is validated for use in Western blot applications.FAM160B2 is a key player in cell biology, playing a role in processes such as cell cycle regulation and cell signaling pathways.
This antibody is validated for use in WB, IHC-P, IF/ICC, IP, ELISA applications and has demonstrated reactivity against Human, Mouse, Rat samples.
Product Name:
FAM160B2 Antibody
SKU:
CAB18836
Size:
20μL, 100μL
Reactivity:
Human, Mouse, Rat
Immunogen:
Recombinant protein (or fragment).This information is considered to be commercially sensitive.
0.5μg-4μg antibody for 400μg-600μg extracts of whole cells
ELISA
Recommended starting concentration is 1 μg/mL. Please optimize the concentration based on your specific assay requirements.
Synonyms:
Rai16, Fam160b2, G430067P06Rik, FAM160B2
Positive Sample:
Mouse brain, Rat testis
Calculated MW:
82kDa
Observed MW:
82kDa
Orthologous to human FHIP2B (FHF complex subunit HOOK interacting protein 2B).
Purification Method
Affinity purification
Gene ID
239170
RRID
AB_2862470
Buffer Information
Store at -20℃. Avoid freeze / thaw cycles. Buffer: PBS containing 50% glycerol, preserved with proclin300 or sodium azide, pH 7.3.
Western blot analysis of various lysates using FAM160B2 Rabbit pAb (CAB18836) at 1:1000 dilution. Secondary antibody: HRP-conjugated Goat anti-Rabbit IgG (H+L) (CABS014) at 1:10000 dilution. Lysates/proteins: 25μg per lane. Blocking buffer: 3% nonfat dry milk in TBST. Detection: ECL Basic Kit (AbGn00020). Exposure time: 30s.
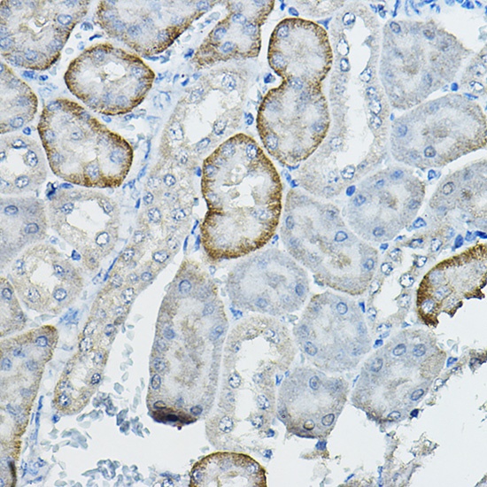
Immunohistochemistry analysis of paraffin-embedded Mouse kidney using FAM160B2 Rabbit pAb (CAB18836) at dilution of 1:100 (40x lens). High pressure antigen retrieval performed with 0.01M Citrate buffer (pH 6.0) prior to IHC staining.
Immunohistochemistry analysis of paraffin-embedded Rat testis using FAM160B2 Rabbit pAb (CAB18836) at dilution of 1:100 (40x lens). High pressure antigen retrieval performed with 0.01M Citrate buffer (pH 6.0) prior to IHC staining.
Immunofluorescence analysis of NIH-3T3 cells using FAM160B2 Rabbit pAb (CAB18836) at dilution of 1:100 (40x lens). Secondary antibody: Cy3-conjugated Goat anti-Rabbit IgG (H+L) (CABS007) at 1:500 dilution. Blue: DAPI for nuclear staining.