The Fam50b Polyclonal Antibody (CAB20245) is a high-quality antibody developed for reliable detection and analysis of target proteins. This antibody, produced in rabbits, exhibits high reactivity with human samples and is validated for use in Western blot applications. By targeting the FAM50B protein, this antibody enables precise detection and analysis of FAM50B expression in various cell types, making it an essential component for studies in molecular biology and genetics.FAM50B, also known as a component of the SET complex, plays a pivotal role in modulating gene transcription and chromatin remodeling processes.
This antibody is validated for use in WB, IHC-P, ELISA applications and has demonstrated reactivity against Human, Mouse, Rat samples.
Product Name:
Fam50b Polyclonal Antibody
SKU:
CAB20245
Size:
20μL, 100μL
Reactivity:
Human, Mouse, Rat
Conjugate:
Unconjugated
Immunogen:
Recombinant protein (or fragment).This information is considered to be commercially sensitive.
Recommended starting concentration is 1 μg/mL. Please optimize the concentration based on your specific assay requirements.
Synonyms:
X5L, D0H6S2654E, XAP-5-like, Fam50b
Positive Sample:
Mouse testis, Rat testis
Cellular Localization:
Intercellular Bridge, Nucleoplasm, Nucleus.
Calculated MW:
40kDa
Observed MW:
39kDa
Predicted to be involved in chromatin organization. Predicted to be located in intercellular bridge; midbody; and nucleoplasm. Predicted to be active in nucleus. Is expressed in primary spermatocyte; seminiferous tubule; and spermatid. Orthologous to human FAM50B (family with sequence similarity 50 member B).
Purification Method
Affinity purification
Gene ID
108161
Buffer Information
Store at -20℃. Avoid freeze / thaw cycles. Buffer: PBS containing 50% glycerol, preserved with proclin300 or sodium azide, pH 7.3.
Western blot analysis of lysates from Mouse testis, using Fam50b Rabbit pAb (CAB20245) at 1:1000 dilution. Secondary antibody: HRP-conjugated Goat anti-Rabbit IgG (H+L) (CABS014) at 1:10000 dilution. Lysates/proteins: 25μg per lane. Blocking buffer: 3% nonfat dry milk in TBST. Detection: ECL Basic Kit (AbGn00020). Exposure time: 30s.
Western blot analysis of lysates from Rat testis, using Fam50b Rabbit pAb (CAB20245) at 1:1000 dilution. Secondary antibody: HRP-conjugated Goat anti-Rabbit IgG (H+L) (CABS014) at 1:10000 dilution. Lysates/proteins: 25μg per lane. Blocking buffer: 3% nonfat dry milk in TBST. Detection: ECL Basic Kit (AbGn00020). Exposure time: 180s.
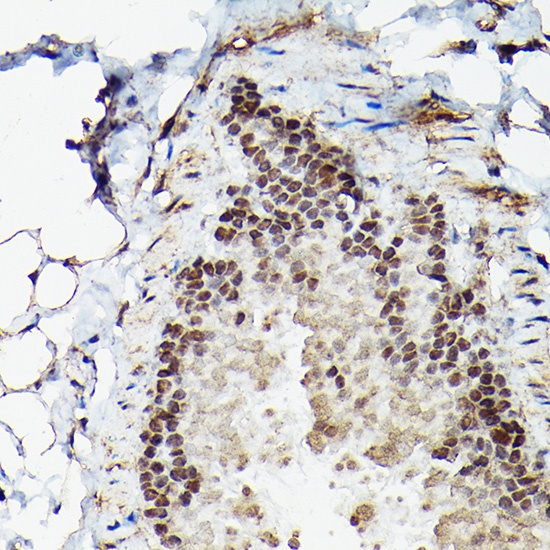
Immunohistochemistry analysis of paraffin-embedded Mouse lung using Fam50b Rabbit pAb (CAB20245) at dilution of 1:50 (40x lens). High pressure antigen retrieval performed with 0.01M Citrate buffer (pH 6.0) prior to IHC staining.
Immunohistochemistry analysis of paraffin-embedded Rat lung using Fam50b Rabbit pAb (CAB20245) at dilution of 1:50 (40x lens). High pressure antigen retrieval performed with 0.01M Citrate buffer (pH 6.0) prior to IHC staining.