The FNTB Monoclonal Antibody (CAB2611) is a high-quality antibody developed for reliable detection and analysis of target proteins. This polyclonal antibody, generated in rabbits, exhibits strong reactivity with human samples and has been validated for use in Western blot applications. By targeting the FNTB protein, researchers can investigate its role in various cellular pathways and gain insights into its potential implications in cancer biology and genetic disorders.FNTB, also known as farnesyltransferase beta subunit, is essential for the proper functioning of farnesyltransferase enzyme complex, which is involved in protein prenylation and membrane localization.
This antibody is validated for use in WB, IHC-P, ELISA applications and has demonstrated reactivity against Human, Rat samples.
Product Name:
FNTB Monoclonal Antibody
SKU:
CAB2611
Size:
20μL, 100μL
Reactivity:
Human, Rat
Clone Number:
ARC1923
Conjugate:
Unconjugated
Immunogen:
Synthetic peptide. This information is considered to be commercially sensitive.
Recommended starting concentration is 1 μg/mL. Please optimize the concentration based on your specific assay requirements.
Synonyms:
FPTB, FNTB
Positive Sample:
HeLa, 293T, A-431, Rat brain
Cellular Localization:
Cytosol, Protein Farnesyltransferase Complex.
Calculated MW:
49kDa
Observed MW:
49kDa
Enables zinc ion binding activity. Contributes to protein farnesyltransferase activity. Involved in protein farnesylation. Part of microtubule associated complex and protein farnesyltransferase complex.
Purification Method
Affinity purification
Gene ID
2342
RRID
AB_2863016
Buffer Information
Store at -20℃. Avoid freeze / thaw cycles. Buffer: PBS containing 50% glycerol and 0.05% BSA, preserved with proclin300 or sodium azide, pH 7.3.
Western blot analysis of various lysates using FNTB Rabbit mAb (CAB2611) at 1:1000 dilution. Secondary antibody: HRP-conjugated Goat anti-Rabbit IgG (H+L) (CABS014) at 1:10000 dilution. Lysates/proteins: 25μg per lane. Blocking buffer: 3% nonfat dry milk in TBST. Detection: ECL Basic Kit (AbGn00020). Exposure time: 10s.
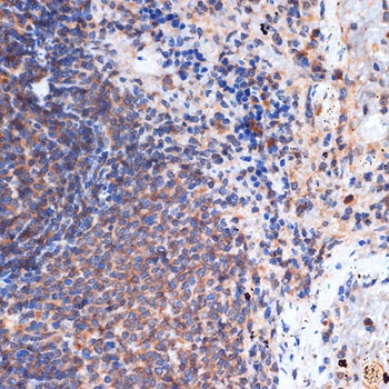
Immunohistochemistry analysis of paraffin-embedded Rat spleen using FNTB Rabbit mAb (CAB2611) at dilution of 1:100 (40x lens). Microwave antigen retrieval performed with 0.01M Tris/EDTA Buffer (pH 9.0) prior to IHC staining.