The Fukutin Monoclonal Antibody (CAB1385) is a high-quality antibody developed for reliable detection and analysis of target proteins. This antibody, raised in rabbits, exhibits high specificity and sensitivity towards human samples, making it suitable for a variety of applications such as immunohistochemistry and Western blotting.Fukutin is essential for the proper function of alpha-dystroglycan, a protein that plays a crucial role in maintaining muscle integrity and function. Mutations in the Fukutin gene have been associated with congenital muscular dystrophies and other neuromuscular disorders, emphasizing the importance of studying this protein in disease pathology.
This antibody is validated for use in WB, IHC-P, ELISA applications and has demonstrated reactivity against Human, Mouse, Rat samples.
Product Name:
Fukutin Monoclonal Antibody
SKU:
CAB1385
Size:
20μL, 100μL
Reactivity:
Human, Mouse, Rat
Clone Number:
ARC2559
Conjugate:
Unconjugated
Immunogen:
Synthetic peptide. This information is considered to be commercially sensitive.
Golgi Apparatus Membrane, Single-Pass Type Ii Membrane Protein.
Calculated MW:
54kDa
Observed MW:
54kDa
The protein encoded by this gene is a putative transmembrane protein that is localized to the cis-Golgi compartment, where it may be involved in the glycosylation of alpha-dystroglycan in skeletal muscle. The encoded protein is thought to be a glycosyltransferase and could play a role in brain development. Defects in this gene are a cause of Fukuyama-type congenital muscular dystrophy (FCMD), Walker-Warburg syndrome (WWS), limb-girdle muscular dystrophy type 2M (LGMD2M), and dilated cardiomyopathy type 1X (CMD1X). Alternatively spliced transcript variants have been found for this gene.
Purification Method
Affinity purification
Gene ID
2218
Buffer Information
Store at -20℃. Avoid freeze / thaw cycles. Buffer: PBS containing 50% glycerol and 0.05% BSA, preserved with proclin300 or sodium azide, pH 7.3.
Western blot analysis of various lysates using Fukutin Rabbit mAb (CAB1385) at 1:1000 dilution. Secondary antibody: HRP-conjugated Goat anti-Rabbit IgG (H+L) (CABS014) at 1:10000 dilution. Lysates/proteins: 25μg per lane. Blocking buffer: 3% nonfat dry milk in TBST. Detection: ECL Basic Kit (AbGn00020). Exposure time: 60s.
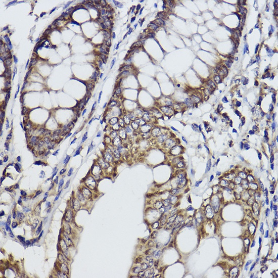
Immunohistochemistry analysis of paraffin-embedded Human colon using Fukutin Rabbit mAb (CAB1385) at dilution of 1:100 (40x lens). High pressure antigen retrieval performed with 0.01M Citrate buffer (pH 6.0) prior to IHC staining.