The GPA33 Monoclonal Antibody (CAB3608) is a high-quality antibody developed for reliable detection and analysis of target proteins. This antibody, raised in rabbits, is highly reactive with human samples and has been validated for use in various applications, including Western blot, immunohistochemistry, and flow cytometry.GPA33 is a promising target for cancer therapy due to its selective expression in colorectal cancer and its potential as a diagnostic marker for the disease. By specifically binding to the GPA33 protein, this antibody enables researchers to detect and analyze GPA33 expression in tumor samples, providing valuable insights for cancer research and the development of targeted therapies.
This antibody is validated for use in WB, IHC-P, ELISA, IF-P applications and has demonstrated reactivity against Human, Mouse, Rat samples.
Product Name:
GPA33 Monoclonal Antibody
SKU:
CAB3608
Size:
20μL, 100μL
Reactivity:
Human, Mouse, Rat
Clone Number:
ARC2060
Conjugate:
Unconjugated
Immunogen:
Synthetic peptide. This information is considered to be commercially sensitive.
Recommended starting concentration is 1 μg/mL. Please optimize the concentration based on your specific assay requirements.
Synonyms:
A33, GPA33
Positive Sample:
HCT 116, HT-29, A549, Mouse stomach, Rat large intestine
Cellular Localization:
Membrane, Single-Pass Type I Membrane Protein.
Calculated MW:
36kDa
Observed MW:
40kDa
The glycoprotein encoded by this gene is a cell surface antigen that is expressed in greater than 95% of human colon cancers. The open reading frame encodes a 319-amino acid polypeptide having a putative secretory signal sequence and 3 potential glycosylation sites. The predicted mature protein has a 213-amino acid extracellular region, a single transmembrane domain, and a 62-amino acid intracellular tail. The sequence of the extracellular region contains 2 domains characteristic of the CD2 subgroup of the immunoglobulin (Ig) superfamily.
Purification Method
Affinity purification
Gene ID
10223
RRID
AB_2863100
Buffer Information
Store at -20℃. Avoid freeze / thaw cycles. Buffer: PBS containing 50% glycerol and 0.05% BSA, preserved with proclin300 or sodium azide, pH 7.3.
Western blot analysis of various lysates using GPA33 Rabbit mAb (CAB3608) at 1:1000 dilution. Secondary antibody: HRP-conjugated Goat anti-Rabbit IgG (H+L) (CABS014) at 1:10000 dilution. Lysates/proteins: 25μg per lane. Blocking buffer: 3% nonfat dry milk in TBST. Detection: ECL Basic Kit (AbGn00020). Exposure time: 1min.
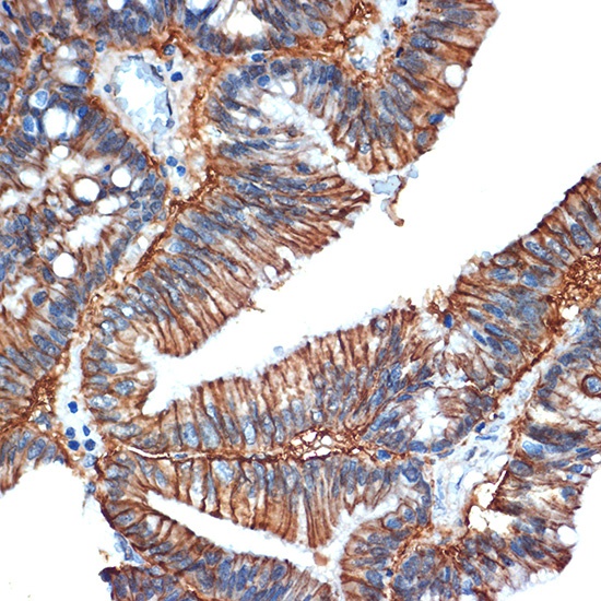
Immunohistochemistry analysis of paraffin-embedded Human colon carcinoma using GPA33 Rabbit mAb (CAB3608) at dilution of 1:100 (40x lens). Microwave antigen retrieval performed with 0.01M Tris/EDTA Buffer (pH 9.0) prior to IHC staining.