The GRIK2 Monoclonal Antibody (CAB9722) is a high-quality antibody developed for reliable detection and analysis of target proteins. This antibody, produced in rabbits, exhibits high reactivity with human samples and has been validated for use in various applications, including Western blot and immunohistochemistry.GRIK2 plays a crucial role in synaptic transmission and plasticity in the central nervous system, making it a key target for research into neurological disorders such as epilepsy, Alzheimer's disease, and schizophrenia.
This antibody is validated for use in WB, IHC-P, ELISA applications and has demonstrated reactivity against Human, Mouse, Rat samples.
Product Name:
GRIK2 Monoclonal Antibody
SKU:
CAB9722
Size:
20μL, 100μL
Reactivity:
Human, Mouse, Rat
Clone Number:
ARC1718
Conjugate:
Unconjugated
Immunogen:
Synthetic peptide. This information is considered to be commercially sensitive.
Glutamate receptors are the predominant excitatory neurotransmitter receptors in the mammalian brain and are activated in a variety of normal neurophysiologic processes. This gene product belongs to the kainate family of glutamate receptors, which are composed of four subunits and function as ligand-activated ion channels. The subunit encoded by this gene is subject to RNA editing at multiple sites within the first and second transmembrane domains, which is thought to alter the structure and function of the receptor complex. Alternatively spliced transcript variants encoding different isoforms have also been described for this gene. Mutations in this gene have been associated with autosomal recessive cognitive disability.
Purification Method
Affinity purification
Gene ID
2898
RRID
AB_2863765
Buffer Information
Store at -20℃. Avoid freeze / thaw cycles. Buffer: PBS containing 50% glycerol and 0.05% BSA, preserved with proclin300 or sodium azide, pH 7.3.
Western blot analysis of lysates from Mouse brain, using GRIK2 Rabbit mAb (CAB9722) at 1:1000 dilution. Secondary antibody: HRP-conjugated Goat anti-Rabbit IgG (H+L) (CABS014) at 1:10000 dilution. Lysates/proteins: 25μg per lane. Blocking buffer: 3% nonfat dry milk in TBST. Detection: ECL Basic Kit (AbGn00020). Exposure time: 10s.
Western blot analysis of lysates from 293T cells, using GRIK2 Rabbit mAb (CAB9722) at 1:1000 dilution. Secondary antibody: HRP-conjugated Goat anti-Rabbit IgG (H+L) (CABS014) at 1:10000 dilution. Lysates/proteins: 25μg per lane. Blocking buffer: 3% nonfat dry milk in TBST. Detection: ECL Basic Kit (AbGn00020). Exposure time: 30s.
Immunohistochemistry analysis of paraffin-embedded Human kidney tissue using GRIK2 Rabbit mAb (CAB9722) at a dilution of 1:200 (40x lens). High pressure antigen retrieval performed with 0.01M Citrate buffer (pH 6.0) prior to IHC staining.
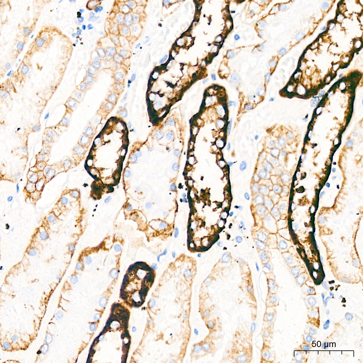
Immunohistochemistry analysis of paraffin-embedded Mouse intestin tissue using GRIK2 Rabbit mAb (CAB9722) at a dilution of 1:200 (40x lens). High pressure antigen retrieval performed with 0.01M Citrate buffer (pH 6.0) prior to IHC staining.