The HBG1/2 Monoclonal Antibody (CAB0704) is a high-quality antibody developed for reliable detection and analysis of target proteins. This antibody, generated in rabbits, exhibits high reactivity with human samples and has been extensively validated for use in Western blot applications. By binding to the HBG1 protein, this antibody allows for the accurate detection and analysis of HBG1 in a variety of cell types, making it an essential tool for studies in hematology and related fields.HBG1 is a critical component of hemoglobin, the protein responsible for transporting oxygen in the blood. Understanding the function and regulation of HBG1 is vital for research into hematological disorders, such as anemia and sickle cell disease.
This antibody is validated for use in WB, IHC-P, ELISA, IF-P applications and has demonstrated reactivity against Human samples.
Product Name:
HBG1/2 Monoclonal Antibody
SKU:
CAB0704
Size:
20μL, 100μL
Reactivity:
Human
Clone Number:
ARC1838
Conjugate:
Unconjugated
Immunogen:
Synthetic peptide. This information is considered to be commercially sensitive.
Sequence:
MGHF TEED KATI TSLW GKVN VEDA GGET LGRL LVVY PWTQ RFFD SFGN LSSA SAIM GNPK VKAH GKKV LTSL GDAI KHLD DLKG TFAQ LSEL HCDK LHVD
Tested Applications:
WBIHC-PELISAIF-P
Recommended Dilution:
WB
1:500 - 1:2000
IF-P
1:50 - 1:200
IHC-P
1:50 - 1:200
ELISA
Recommended starting concentration is 1 μg/mL. Please optimize the concentration based on your specific assay requirements.
Synonyms:
HBG-T2, HBGA, HBGR, HSGGL1, PRO2979, HBG1/2
Positive Sample:
Mouse kidney, KU812
Cellular Localization:
Cytosol, Hemoglobin Complex.
Calculated MW:
12kDa
Observed MW:
12kDa
The gamma globin genes (HBG1 and HBG2) are normally expressed in the fetal liver, spleen and bone marrow. Two gamma chains together with two alpha chains constitute fetal hemoglobin (HbF) which is normally replaced by adult hemoglobin (HbA) at birth. In some beta-thalassemias and related conditions, gamma chain production continues into adulthood. The two types of gamma chains differ at residue 136 where glycine is found in the G-gamma product (HBG2) and alanine is found in the A-gamma product (HBG1). The former is predominant at birth. The order of the genes in the beta-globin cluster is: 5'-epsilon -- gamma-G -- gamma-A -- delta -- beta--3'. [provided by RefSeq, Jul 2008]
Purification Method
Affinity purification
Gene ID
3047 3048
Buffer Information
Store at -20℃. Avoid freeze / thaw cycles. Buffer: PBS containing 50% glycerol and 0.05% BSA, preserved with proclin300 or sodium azide, pH 7.3.
Western blot analysis of various lysates using HBG1/2 Rabbit mAb (CAB0704) at 1:1000 dilution incubated overnight at 4℃. Secondary antibody: HRP-conjugated Goat anti-Rabbit IgG (H+L) (CABS014) at 1:10000 dilution. Lysates/proteins: 25 μg per lane. Blocking buffer: 3% nonfat dry milk in TBST. Detection: ECL Basic Kit (AbGn00020). Negative control (NC): Ramos, HeLa. Exposure time: 10 s.
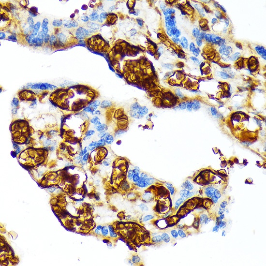
Immunohistochemistry analysis of paraffin-embedded Human placenta using HBG1 Rabbit mAb (CAB0704) at dilution of 1:100 (40x lens). Microwave antigen retrieval performed with 0.01M Tris/EDTA Buffer (pH 9.0) prior to IHC staining.