The hnRNP E1/PCBP1 Monoclonal Antibody (CAB19276) is a high-quality antibody developed for reliable detection and analysis of target proteins. This antibody, developed using rabbits as the host species, exhibits high reactivity with human samples and is specifically validated for use in Western blot applications.HNRNP E1 (PCBP1) is a multifunctional RNA-binding protein involved in regulating gene expression, RNA splicing, and mRNA stability. Its diverse functions make it a key player in cellular processes such as mRNA transport, translation, and post-transcriptional regulation. The HNRNP E1 (PCBP1) antibody binds to the target protein with high specificity, enabling researchers to detect and analyze HNRNP E1 (PCBP1) levels in different cell types.
This antibody is validated for use in WB, ELISA applications and has demonstrated reactivity against Human, Mouse, Rat samples.
Product Name:
hnRNP E1/PCBP1 Monoclonal Antibody
SKU:
CAB19276
Size:
20μL, 100μL
Reactivity:
Human, Mouse, Rat
Clone Number:
ARC2456
Conjugate:
Unconjugated
Immunogen:
Synthetic peptide. This information is considered to be commercially sensitive.
HeLa, Hep G2, A-431, K-562, Mouse brain, Rat pancreas
Cellular Localization:
Cytoplasm, Nucleus.
Calculated MW:
37kDa
Observed MW:
37kDa
This intronless gene is thought to have been generated by retrotransposition of a fully processed PCBP-2 mRNA. This gene and PCBP-2 have paralogues (PCBP3 and PCBP4) which are thought to have arisen as a result of duplication events of entire genes. The protein encoded by this gene appears to be multifunctional. It along with PCBP-2 and hnRNPK corresponds to the major cellular poly(rC)-binding protein. It contains three K-homologous (KH) domains which may be involved in RNA binding. This encoded protein together with PCBP-2 also functions as translational coactivators of poliovirus RNA via a sequence-specific interaction with stem-loop IV of the IRES and promote poliovirus RNA replication by binding to its 5'-terminal cloverleaf structure. It has also been implicated in translational control of the 15-lipoxygenase mRNA, human Papillomavirus type 16 L2 mRNA, and hepatitis A virus RNA. The encoded protein is also suggested to play a part in formation of a sequence-specific alpha-globin mRNP complex which is associated with alpha-globin mRNA stability.
Purification Method
Affinity purification
Gene ID
5093
Buffer Information
Store at -20℃. Avoid freeze / thaw cycles. Buffer: PBS containing 50% glycerol and 0.05% BSA, preserved with proclin300 or sodium azide, pH 7.3.
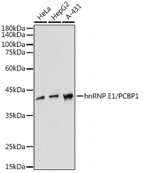
Western blot analysis of various lysates using hnRNP E1/PCBP1 Rabbit mAb (CAB19276) at 1:1000 dilution. Secondary antibody: HRP-conjugated Goat anti-Rabbit IgG (H+L) (CABS014) at 1:10000 dilution. Lysates/proteins: 25μg per lane. Blocking buffer: 3% nonfat dry milk in TBST. Detection: ECL Basic Kit (AbGn00020). Exposure time: 10s.
Western blot analysis of various lysates using hnRNP E1/PCBP1 Rabbit mAb (CAB19276) at 1:1000 dilution. Secondary antibody: HRP-conjugated Goat anti-Rabbit IgG (H+L) (CABS014) at 1:10000 dilution. Lysates/proteins: 25μg per lane. Blocking buffer: 3% nonfat dry milk in TBST. Detection: ECL Basic Kit (AbGn00020). Exposure time: 30s.