The JMJD1C Antibody (CAB20153) is a high-quality antibody developed for reliable detection and analysis of target proteins. This antibody, produced in rabbits, has high specificity for JMJD1C in human samples and has been validated for use in Western blotting and immunohistochemistry.JMJD1C is known to play a key role in various biological processes, including cell differentiation, metabolism, and development.
This antibody is validated for use in WB, IHC-P, ELISA applications and has demonstrated reactivity against Human, Mouse, Rat samples.
Product Name:
JMJD1C Antibody
SKU:
CAB20153
Size:
20μL, 100μL
Reactivity:
Human, Mouse, Rat
Conjugate:
Unconjugated
Immunogen:
Recombinant protein (or fragment).This information is considered to be commercially sensitive.
Recommended starting concentration is 1 μg/mL. Please optimize the concentration based on your specific assay requirements.
Synonyms:
KDM3C, TRIP8, TRIP-8, JMJD1C
Positive Sample:
HeLa, HepG2, Jurkat, Mouse testis
Cellular Localization:
Histone Deacetylase Complex, Nucleoplasm.
Calculated MW:
285kDa
Observed MW:
285kDa
The protein encoded by this gene interacts with thyroid hormone receptors and contains a jumonji domain. It is a candidate histone demethylase and is thought to be a coactivator for key transcription factors. It plays a role in the DNA-damage response pathway by demethylating the mediator of DNA damage checkpoint 1 (MDC1) protein, and is required for the survival of acute myeloid leukemia. Mutations in this gene are associated with Rett syndrome and intellectual disability. Alternative splicing results in multiple transcript variants.
Purification Method
Affinity purification
Gene ID
221037
RRID
AB_2862940
Buffer Information
Store at -20℃. Avoid freeze / thaw cycles. Buffer: PBS with 0.01% thimerosal,50% glycerol,pH7.3.
Western blot analysis of various lysates using JMJD1C Rabbit pAb (CAB20153) at 1:1000 dilution. Secondary antibody: HRP-conjugated Goat anti-Rabbit IgG (H+L) (CABS014) at 1:10000 dilution. Lysates/proteins: 25μg per lane. Blocking buffer: 3% nonfat dry milk in TBST. Detection: ECL Basic Kit (AbGn00020). Exposure time: 10s.
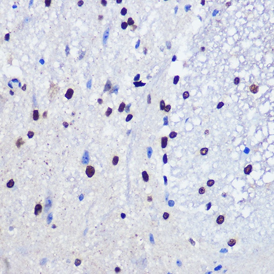
Immunohistochemistry analysis of paraffin-embedded Rat brain using JMJD1C Rabbit pAb (CAB20153) at dilution of 1:100 (40x lens). Microwave antigen retrieval performed with 0.01M PBS Buffer (pH 7.2) prior to IHC staining.
Immunohistochemistry analysis of paraffin-embedded Mouse spinal cord using JMJD1C Rabbit pAb (CAB20153) at dilution of 1:100 (40x lens). Microwave antigen retrieval performed with 0.01M PBS Buffer (pH 7.2) prior to IHC staining.