The Mammaglobin A Monoclonal Antibody (CAB19727) is a high-quality antibody developed for reliable detection and analysis of target proteins. This antibody, raised in rabbits, is highly specific and sensitive for detecting Mammaglobin A in human samples. It is validated for use in various applications, including Western blot and immunohistochemistry, allowing for precise and accurate analysis of Mammaglobin A expression in different cell types.Mammaglobin A is a promising biomarker for breast cancer, with high expression levels often associated with the disease. Studying the role of Mammaglobin A in breast cancer progression and metastasis is essential for developing targeted therapies and improving patient outcomes.
This antibody is validated for use in WB, IHC-P, ELISA applications and has demonstrated reactivity against Human samples.
Product Name:
Mammaglobin A Monoclonal Antibody
SKU:
CAB19727
Size:
20μL, 100μL
Reactivity:
Human
Clone Number:
ARC2255
Conjugate:
Unconjugated
Immunogen:
Recombinant protein (or fragment).This information is considered to be commercially sensitive.
Recommended starting concentration is 1 μg/mL. Please optimize the concentration based on your specific assay requirements.
Synonyms:
MGB1, UGB2, PSBP1, Mammaglobin A
Positive Sample:
BT-474 cells
Cellular Localization:
Cytoplasm, Extracellular Space.
Calculated MW:
10kDa
Observed MW:
14kDa
Predicted to be involved in androgen receptor signaling pathway. Predicted to be located in extracellular region. Predicted to be active in extracellular space.
Purification Method
Affinity purification
Gene ID
4250
Buffer Information
Store at -20℃. Avoid freeze / thaw cycles. Buffer: PBS containing 50% glycerol and 0.05% BSA, preserved with proclin300 or sodium azide, pH 7.3.
Western blot analysis of lysates from BT-474 cells, using Mammaglobin A Rabbit mAb (CAB19727) at 1:1000 dilution. Secondary antibody: HRP-conjugated Goat anti-Rabbit IgG (H+L) (CABS014) at 1:10000 dilution. Lysates/proteins: 25μg per lane. Blocking buffer: 3% nonfat dry milk in TBST. Detection: ECL Basic Kit (AbGn00020). Exposure time: 60s.
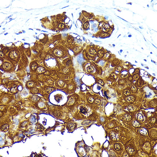
Immunohistochemistry analysis of paraffin-embedded Human breast cancer using Mammaglobin A Rabbit mAb (CAB19727) at dilution of 1:200 (40x lens). High pressure antigen retrieval performed with 0.01M Tris/EDTA Buffer (pH 9.0) prior to IHC staining.
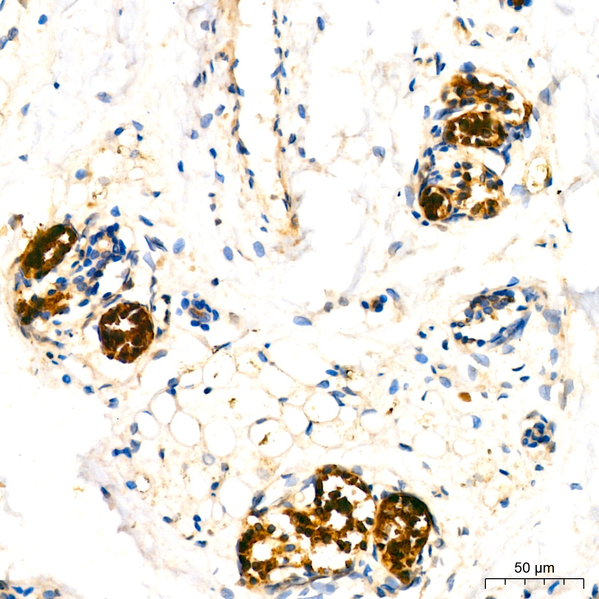
Immunohistochemistry analysis of paraffin-embedded Human skin using Mammaglobin A Rabbit mAb (CAB19727) at dilution of 1:200 (40x lens). High pressure antigen retrieval performed with 0.01M Tris/EDTA Buffer (pH 9.0) prior to IHC staining.