The MOV10 Monoclonal Antibody (CAB7227) is a high-quality antibody developed for reliable detection and analysis of target proteins. This antibody, produced in rabbits, is highly reactive with human samples and has been validated for use in Western blot applications. By binding to the MOV10 protein, researchers can detect and analyze its expression in various cell types, making it an ideal tool for studies in RNA biology and gene regulation.MOV10 is a crucial player in RNA metabolism, acting as an RNA helicase that unwinds RNA structures and regulates RNA stability and translation.
This antibody is validated for use in WB, ELISA applications and has demonstrated reactivity against Human, Mouse, Rat samples.
Product Name:
MOV10 Monoclonal Antibody
SKU:
CAB7227
Size:
20μL, 100μL
Reactivity:
Human, Mouse, Rat
Clone Number:
ARC1817
Conjugate:
Unconjugated
Immunogen:
Synthetic peptide. This information is considered to be commercially sensitive.
Recommended starting concentration is 1 μg/mL. Please optimize the concentration based on your specific assay requirements.
Synonyms:
gb110, fSAP113, MOV10
Positive Sample:
U-2 OS, Hep G2, NIH/3T3, U-87 MG, Mouse liver, Rat kidney
Cellular Localization:
Cytoplasm, P-Body.
Calculated MW:
114kDa
Observed MW:
114kDa
Enables 5'-3' RNA helicase activity and RNA binding activity. Involved in defense response to virus; negative regulation of transposition, RNA-mediated; and posttranscriptional regulation of gene expression. Located in P-body and cytosol. Implicated in hypertension.
Purification Method
Affinity purification
Gene ID
4343
RRID
AB_2863547
Buffer Information
Store at -20℃. Avoid freeze / thaw cycles. Buffer: PBS containing 50% glycerol and 0.05% BSA, preserved with proclin300 or sodium azide, pH 7.3.
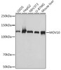
Western blot analysis of various lysates using MOV10 Rabbit mAb (CAB7227) at 1:1000 dilution. Secondary antibody: HRP-conjugated Goat anti-Rabbit IgG (H+L) (CABS014) at 1:10000 dilution. Lysates/proteins: 25μg per lane. Blocking buffer: 3% nonfat dry milk in TBST. Detection: ECL Basic Kit (AbGn00020). Exposure time: 1s.
Western blot analysis of lysates from Rat kidney, using MOV10 Rabbit mAb (CAB7227) at 1:1000 dilution. Secondary antibody: HRP-conjugated Goat anti-Rabbit IgG (H+L) (CABS014) at 1:10000 dilution. Lysates/proteins: 25μg per lane. Blocking buffer: 3% nonfat dry milk in TBST. Detection: ECL Basic Kit (AbGn00020). Exposure time: 60s.