The NAIP Monoclonal Antibody (CAB19730) is a high-quality antibody developed for reliable detection and analysis of target proteins. This antibody, produced in rabbits, exhibits high reactivity with human samples and has been validated for use in Western blot applications. By binding specifically to the NAIP protein, researchers can detect and analyze its expression in various cell types, making it an ideal choice for studies in immunology and inflammation research.
This antibody is validated for use in IHC-P, ELISA applications and has demonstrated reactivity against Human, Mouse samples.
Product Name:
NAIP Monoclonal Antibody
SKU:
CAB19730
Size:
20μL, 100μL
Reactivity:
Human, Mouse
Clone Number:
ARC2258
Conjugate:
Unconjugated
Immunogen:
Synthetic peptide. This information is considered to be commercially sensitive.
This gene is part of a 500 kb inverted duplication on chromosome 5q13. This duplicated region contains at least four genes and repetitive elements which make it prone to rearrangements and deletions. The repetitiveness and complexity of the sequence have also caused difficulty in determining the organization of this genomic region. This copy of the gene is full length; additional copies with truncations and internal deletions are also present in this region of chromosome 5q13. It is thought that this gene is a modifier of spinal muscular atrophy caused by mutations in a neighboring gene, SMN1. The protein encoded by this gene contains regions of homology to two baculovirus inhibitor of apoptosis proteins, and it is able to suppress apoptosis induced by various signals. Alternative splicing and the use of alternative promoters results in multiple transcript variants.
Purification Method
Affinity purification
Gene ID
4671
Buffer Information
Store at -20℃. Avoid freeze / thaw cycles. Buffer: PBS containing 50% glycerol and 0.05% BSA, preserved with proclin300 or sodium azide, pH 7.3.
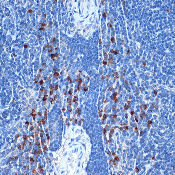
Immunohistochemistry analysis of paraffin-embedded Mouse spleen using NAIP Rabbit mAb (CAB19730) at dilution of 1:100 (40x lens). Microwave antigen retrieval performed with 0.01M Tris/EDTA Buffer (pH 9.0) prior to IHC staining.
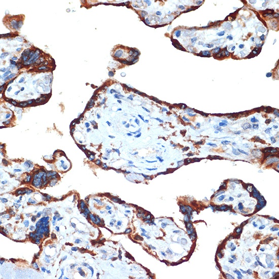
Immunohistochemistry analysis of paraffin-embedded Human placenta using NAIP Rabbit mAb (CAB19730) at dilution of 1:100 (40x lens). Microwave antigen retrieval performed with 0.01M Tris/EDTA Buffer (pH 9.0) prior to IHC staining.