The NCS1 Monoclonal Antibody (CAB0598) is a high-quality antibody developed for reliable detection and analysis of target proteins. This antibody, generated in rabbits, exhibits high specificity in detecting NCS1 protein in human samples, making it suitable for use in Western blotting experiments.NCS1, also known as neuronal calcium sensor 1, is essential for regulating calcium signaling in neurons and plays a crucial role in neuronal function and development. Dysregulation of NCS1 has been implicated in neurological disorders such as schizophrenia and bipolar disorder, making it a key target for further investigation in neuroscience research.
This antibody is validated for use in WB, ELISA applications and has demonstrated reactivity against Human, Mouse, Rat samples.
Product Name:
NCS1 Monoclonal Antibody
SKU:
CAB0598
Size:
20μL, 100μL
Reactivity:
Human, Mouse, Rat
Clone Number:
ARC2523
Conjugate:
Unconjugated
Immunogen:
Synthetic peptide. This information is considered to be commercially sensitive.
This gene is a member of the neuronal calcium sensor gene family, which encode calcium-binding proteins expressed predominantly in neurons. The protein encoded by this gene regulates G protein-coupled receptor phosphorylation in a calcium-dependent manner and can substitute for calmodulin. The protein is associated with secretory granules and modulates synaptic transmission and synaptic plasticity. Multiple transcript variants encoding different isoforms have been found for this gene.
Purification Method
Affinity purification
Gene ID
23413
Buffer Information
Store at -20℃. Avoid freeze / thaw cycles. Buffer: PBS containing 50% glycerol and 0.05% BSA, preserved with proclin300 or sodium azide, pH 7.3.
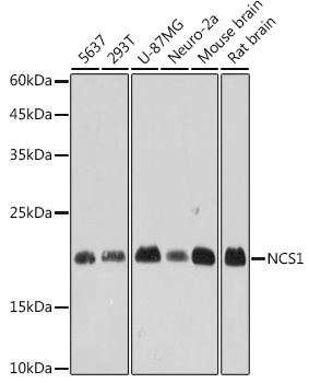
Western blot analysis of various lysates, using NCS1 Rabbit mAb (CAB0598) at 1:1000 dilution. Secondary antibody: HRP-conjugated Goat anti-Rabbit IgG (H+L) (CABS014) at 1:10000 dilution. Lysates/proteins: 25μg per lane. Blocking buffer: 3% nonfat dry milk in TBST. Detection: ECL Basic Kit (AbGn00020). Exposure time: 10s.