The PEN2/PSENEN Monoclonal Antibody (CAB8678) is a high-quality antibody developed for reliable detection and analysis of target proteins. This polyclonal antibody, produced in rabbits, is highly specific to human samples and has been validated for use in Western blot applications.The PEN2/PSENEN protein is essential for the cleavage of amyloid precursor protein (APP) into amyloid-beta peptides, which are known to aggregate and form plaques in the brains of Alzheimer's patients. Understanding the function and regulation of PEN2/PSENEN is crucial for developing therapeutic strategies to target this protein and potentially slow down or prevent the progression of Alzheimer's disease.
This antibody is validated for use in WB, IF/ICC, ELISA, IF-P applications and has demonstrated reactivity against Human, Mouse, Rat samples.
Product Name:
PEN2/PSENEN Monoclonal Antibody
SKU:
CAB8678
Size:
20μL, 100μL
Reactivity:
Human, Mouse, Rat
Clone Number:
ARC1779
Conjugate:
Unconjugated
Immunogen:
Recombinant protein (or fragment).This information is considered to be commercially sensitive.
Presenilins, which are components of the gamma-secretase protein complex, are required for intramembranous processing of some type I transmembrane proteins, such as the Notch proteins and the beta-amyloid precursor protein. Signaling by Notch receptors mediates a wide range of developmental cell fates. Processing of the beta-amyloid precursor protein generates neurotoxic amyloid beta peptides, the major component of senile plaques associated with Alzheimer's disease. This gene encodes a protein that is required for Notch pathway signaling, and for the activity and accumulation of gamma-secretase. Mutations resulting in haploinsufficiency for this gene cause familial acne inversa-2 (ACNINV2). Alternative splicing results in multiple transcript variants.
Purification Method
Affinity purification
Gene ID
55851
RRID
AB_2863584
Buffer Information
Store at -20℃. Avoid freeze / thaw cycles. Buffer: PBS containing 50% glycerol and 0.05% BSA, preserved with proclin300 or sodium azide, pH 7.3.
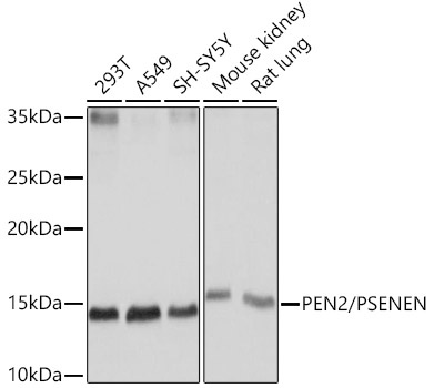
Western blot analysis of various lysates using PEN2/PSENEN Rabbit mAb (CAB8678) at 1:1000 dilution. Secondary antibody: HRP-conjugated Goat anti-Rabbit IgG (H+L) (CABS014) at 1:10000 dilution. Lysates/proteins: 25μg per lane. Blocking buffer: 3% nonfat dry milk in TBST. Detection: ECL Basic Kit (AbGn00020). Exposure time: 10s.
Confocal imaging of NIH/3T3 cells using PEN2/PSENEN Rabbit mAb (CAB8678, dilution 1:100) followed by a further incubation with Cy3 Goat Anti-Rabbit IgG (H+L) (CABS007, dilution 1:500) (Red). The cells were counterstained with α-Tubulin Mouse mAb (AC012, dilution 1:400) followed by incubation with ABflo® 488-conjugated Goat Anti-Mouse IgG (H+L) Ab (CABS076, dilution 1:500) (Green). DAPI was used for nuclear staining (Blue). Objective: 100x.