The PKC mu Monoclonal Antibody (CAB2417) is a high-quality antibody developed for reliable detection and analysis of target proteins. This antibody, produced in rabbits, demonstrates high specificity and sensitivity towards human samples, making it suitable for use in Western blot applications.PKC Mu is a key regulator of signal transduction pathways that control cell proliferation and survival, making it a promising target for cancer research and drug development. By targeting PKC Mu, researchers can gain insights into the mechanisms underlying cancer cell growth and potentially develop novel therapeutic strategies for treating cancer.
This antibody is validated for use in WB, ELISA applications and has demonstrated reactivity against Human, Mouse, Rat samples.
Product Name:
PKC mu Monoclonal Antibody
SKU:
CAB2417
Size:
20μL, 100μL
Reactivity:
Human, Mouse, Rat
Clone Number:
ARC1919
Conjugate:
Unconjugated
Immunogen:
Synthetic peptide. This information is considered to be commercially sensitive.
The protein encoded by this gene is a serine/threonine protein kinase involved in many cellular processes, including Golgi body membrane integrity and transport, cell migration and differentiation, MAPK8/JNK1 and Ras pathway signaling, MAPK1/3 (ERK1/2) pathway signaling, cell survival, and regulation of cell shape and adhesion.
Purification Method
Affinity purification
Gene ID
5587
RRID
AB_2863007
Buffer Information
Store at -20℃. Avoid freeze / thaw cycles. Buffer: PBS containing 50% glycerol and 0.05% BSA, preserved with proclin300 or sodium azide, pH 7.3.
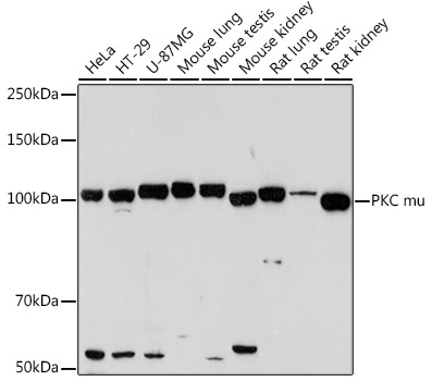
Western blot analysis of various lysates using PKC mu Rabbit mAb (CAB2417) at 1:1000 dilution. Secondary antibody: HRP-conjugated Goat anti-Rabbit IgG (H+L) (CABS014) at 1:10000 dilution. Lysates/proteins: 25 μg per lane. Blocking buffer: 3% nonfat dry milk in TBST. Detection: ECL Enhanced Kit (AbGn00021). Exposure time: 180 s.