The PLTP Monoclonal Antibody (CAB9644) is a high-quality antibody developed for reliable detection and analysis of target proteins. This antibody is produced in rabbits and exhibits high specificity and reactivity with human samples, making it ideal for use in Western blotting and other applications.PLTP is involved in the transfer of phospholipids between lipoproteins, playing a crucial role in lipid metabolism and the regulation of cholesterol levels. Research has shown that dysregulation of PLTP activity is associated with various metabolic disorders, including atherosclerosis and cardiovascular disease.
This antibody is validated for use in WB, IHC-P, ELISA applications and has demonstrated reactivity against Mouse, Rat samples.
Product Name:
PLTP Monoclonal Antibody
SKU:
CAB9644
Size:
20μL, 100μL
Reactivity:
Mouse, Rat
Clone Number:
ARC1676
Conjugate:
Unconjugated
Immunogen:
Synthetic peptide. This information is considered to be commercially sensitive.
The protein encoded by this gene is one of at least two lipid transfer proteins found in human plasma. The encoded protein transfers phospholipids from triglyceride-rich lipoproteins to high density lipoprotein (HDL). In addition to regulating the size of HDL particles, this protein may be involved in cholesterol metabolism. At least two transcript variants encoding different isoforms have been found for this gene.
Purification Method
Affinity purification
Gene ID
5360
Buffer Information
Store at -20℃. Avoid freeze / thaw cycles. Buffer: PBS containing 50% glycerol and 0.05% BSA, preserved with proclin300 or sodium azide, pH 7.3.
Western blot analysis of various lysates using PLTP Rabbit mAb (CAB9644) at 1:1000 dilution incubated overnight at 4℃. Secondary antibody: HRP-conjugated Goat anti-Rabbit IgG (H+L) (CABS014) at 1:10000 dilution. Lysates/proteins: 25 μg per lane. Blocking buffer: 3% nonfat dry milk in TBST. Detection: ECL Basic Kit (AbGn00020). Exposure time: 90s.
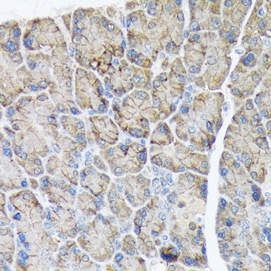
Immunohistochemistry analysis of paraffin-embedded Rat pancreas using PLTP Rabbit mAb (CAB9644) at dilution of 1:100 (40x lens). Microwave antigen retrieval performed with 0.01M Tris/EDTA Buffer (pH 9.0) prior to IHC staining.