The RING1A Monoclonal Antibody (CAB19750) is a high-quality antibody developed for reliable detection and analysis of target proteins. Raised in rabbits, this antibody is highly specific for human samples and is validated for use in Western blot applications. By binding to the Ring1A protein, this antibody enables accurate detection and analysis in various cell types, making it an essential tool for studies in molecular biology and developmental biology.Ring1A is a member of the Polycomb group proteins, which play a crucial role in controlling gene expression through chromatin modification.
This antibody is validated for use in WB, IHC-P, ELISA applications and has demonstrated reactivity against Human samples.
Product Name:
RING1A Monoclonal Antibody
SKU:
CAB19750
Size:
20μL, 100μL
Reactivity:
Human
Clone Number:
ARC2278
Conjugate:
Unconjugated
Immunogen:
Synthetic peptide. This information is considered to be commercially sensitive.
Sequence:
DPNF DALI SKIY PSRE EYEA HQDR VLIR LSRL HNQQ ALSS SIEE GLRM QAMH RAQR VRRP IPGS DQTT TMSG GEGE PGEG EGDG EDVS SDSA PDSA PGPA P
Tested Applications:
WBIHC-PELISA
Recommended Dilution:
WB
1:500 - 1:2000
IHC-P
1:50 - 1:200
ELISA
Recommended starting concentration is 1 μg/mL. Please optimize the concentration based on your specific assay requirements.
Synonyms:
RNF1, RING1A
Positive Sample:
HeLa, HCT116,
Cellular Localization:
Cytosol, Nuclear Speck, Nucleoplasm, Nucleus.
Calculated MW:
42kDa
Observed MW:
54kDa
This gene belongs to the RING finger family, members of which encode proteins characterized by a RING domain, a zinc-binding motif related to the zinc finger domain. The gene product can bind DNA and can act as a transcriptional repressor. It is associated with the multimeric polycomb group protein complex. The gene product interacts with the polycomb group proteins BMI1, EDR1, and CBX4, and colocalizes with these proteins in large nuclear domains. It interacts with the CBX4 protein via its glycine-rich C-terminal domain. The gene maps to the HLA class II region, where it is contiguous with the RING finger genes FABGL and HKE4.
Purification Method
Affinity purification
Gene ID
6015
Buffer Information
Store at -20℃. Avoid freeze / thaw cycles. Buffer: PBS containing 50% glycerol and 0.05% BSA, preserved with proclin300 or sodium azide, pH 7.3.
Western blot analysis of various lysates using RING1A Rabbit mAb (CAB19750) at 1:1000 dilution. Secondary antibody: HRP-conjugated Goat anti-Rabbit IgG (H+L) (CABS014) at 1:10000 dilution. Lysates/proteins: 25μg per lane. Blocking buffer: 3% nonfat dry milk in TBST. Detection: ECL Basic Kit (AbGn00020). Exposure time: 90s.
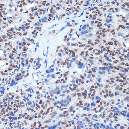
Immunohistochemistry analysis of paraffin-embedded Human thyroid cancer using RING1A Rabbit mAb (CAB19750) at dilution of 1:100 (40x lens). Microwave antigen retrieval performed with 0.01M Tris/EDTA Buffer (pH 9.0) prior to IHC staining.