The FABPI Monoclonal Antibody (CAB8895) is a high-quality antibody developed for reliable detection and analysis of target proteins. This antibody, produced in rabbits, exhibits high specificity and sensitivity in detecting the FabPI protein in various samples. Validated for use in Western blot applications, the FabPI Rabbit Monoclonal Antibody is an essential tool for researchers exploring the function and role of FabPI in cancer biology and immunology.FabPI, a key player in cellular processes, has been linked to important functions in cancer progression and immune regulation.
This antibody is validated for use in WB, IHC-P, ELISA, IF-P applications and has demonstrated reactivity against Mouse, Rat samples.
Product Name:
FABPI Monoclonal Antibody
SKU:
CAB8895
Size:
20μL, 100μL
Reactivity:
Mouse, Rat
Clone Number:
ARC1343
Conjugate:
Unconjugated
Immunogen:
Synthetic peptide. This information is considered to be commercially sensitive.
Recommended starting concentration is 1 μg/mL. Please optimize the concentration based on your specific assay requirements.
Synonyms:
FABPI, I-FABP
Positive Sample:
Mouse small intestine, Rat small intestine
Cellular Localization:
Cytoplasm.
Calculated MW:
15kDa
Observed MW:
14kDa
The protein encoded by this gene is an intracellular fatty acid-binding protein that participates in the uptake, intracellular metabolism, and transport of long-chain fatty acids. The encoded protein is also involved in the modulation of cell growth and proliferation. This protein binds saturated long-chain fatty acids with high affinity, and may act as a lipid sensor to maintain energy homeostasis.
Purification Method
Affinity purification
Gene ID
2169
RRID
AB_2863624
Buffer Information
Store at -20℃. Avoid freeze / thaw cycles. Buffer: PBS containing 50% glycerol and 0.05% BSA, preserved with proclin300 or sodium azide, pH 7.3.
Western blot analysis of various lysates using FABPI Rabbit mAb (CAB8895) at 1:1000 dilution. Secondary antibody: HRP-conjugated Goat anti-Rabbit IgG (H+L) (CABS014) at 1:10000 dilution. Lysates/proteins: 25μg per lane. Blocking buffer: 3% nonfat dry milk in TBST. Detection: ECL Basic Kit (AbGn00020). Exposure time: 60s.
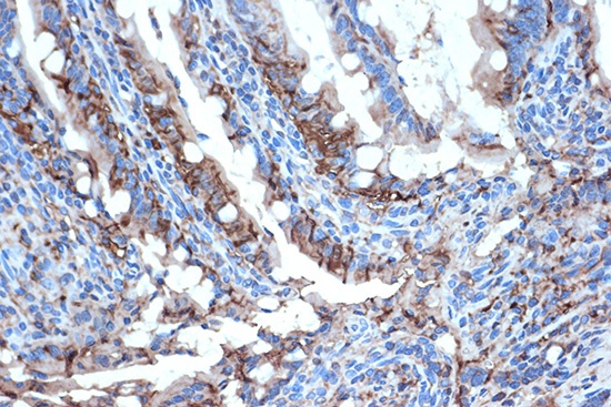
Immunohistochemistry analysis of paraffin-embedded Rat intestine using FABPI Rabbit mAb (CAB8895) at dilution of 1:100 (40x lens). Microwave antigen retrieval performed with 0.01M Tris/EDTA Buffer (pH 9.0) prior to IHC staining.
Confocal imaging of paraffin-embedded mouse small intestine using FABPI Rabbit mAb (CAB8895,dilution 1:200) followed by a further incubation with Cy3 Goat Anti-Rabbit IgG (H+L) (CABS007,dilution 1:500)(Red).DAPI was used for nuclear staining (Blue). Objective: 40x.Perform high pressure antigen retrieval with 0.01M citrate buffer (pH 6.0) prior to IF staining.