The SARS-CoV-2 ORF7a Antibody (CAB20307) is a high-quality antibody developed for reliable detection and analysis of target proteins. This polyclonal antibody, produced in rabbits, exhibits high reactivity with human samples and has been validated for use in various applications such as Western blotting.The ORF7a protein is a key player in the pathogenesis of SARS-CoV-2, affecting viral replication and immune evasion mechanisms. By specifically targeting and detecting ORF7a, researchers can gain insights into the virus's behavior and potential therapeutic targets for combating COVID-19.
This antibody is validated for use in WB, ELISA applications and has demonstrated reactivity against SARS-CoV-2 samples.
Product Name:
SARS-CoV-2 ORF7a Antibody
SKU:
CAB20307
Size:
20μL, 100μL
Reactivity:
SARS-CoV-2
Conjugate:
Unconjugated
Immunogen:
Recombinant protein (or fragment).This information is considered to be commercially sensitive.
Recommended starting concentration is 1 μg/mL. Please optimize the concentration based on your specific assay requirements.
Positive Sample:
293T
Calculated MW:
14kDa
Observed MW:
17kDa
Severe acute respiratory syndrome coronavirus 2 (SARS-CoV-2) is an enveloped, positive-sense, single-stranded RNA virus that causes coronavirus disease 2019 (COVID-19). Virus particles include the RNA genetic material and structural proteins needed for invasion of host cells. Once inside the cell the infecting RNA is used to encode structural proteins that make up virus particles, nonstructural proteins that direct virus assembly, transcription, replication and host control and accessory proteins whose function has not been determined.~ ORF7a encodes a viral accessory protein. Based on its similarity to other coronavirus proteins, ORF7a protein is thought to be a type I transmembrane protein.
Purification Method
Affinity purification
Gene ID
43740573
Buffer Information
Store at -20℃. Avoid freeze / thaw cycles. Buffer: PBS containing 50% glycerol, preserved with proclin300 or sodium azide, pH 7.3.
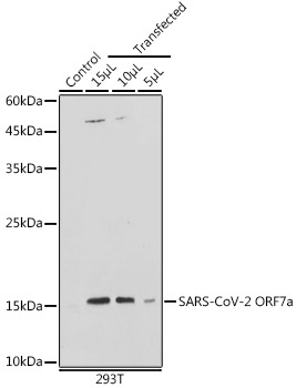
Western blot analysis of extracts of normal 293T cells and 293T transfected with ORF7a Protein, using SARS-CoV-2 ORF7a Rabbit pAb (CAB20307) at 1:1000 dilution. Secondary antibody: HRP-conjugated Goat anti-Rabbit IgG (H+L) (CABS014) at 1:10000 dilution. Lysates/proteins: 25μg per lane. Blocking buffer: 3% nonfat dry milk in TBST. Detection: ECL Basic Kit (AbGn00020). Exposure time: 1s.