The SARS-CoV-2 Spike ECD Antibody (CAB20497) is a high-quality antibody developed for reliable detection and analysis of target proteins. This polyclonal antibody, produced against the extracellular domain of the Spike protein, is highly specific and exhibits strong reactivity with human samples.Validated for use in various applications such as Western blot and immunohistochemistry, this antibody allows for the detection and analysis of the SARS-CoV-2 Spike protein in different cell types and tissues. Its high affinity for the Spike protein makes it an ideal choice for studies focusing on viral entry mechanisms, vaccine development, and antiviral drug screening.
This antibody is validated for use in WB, ELISA applications and has demonstrated reactivity against SARS-CoV-2 samples.
Product Name:
SARS-CoV-2 Spike ECD Antibody
SKU:
CAB20497
Size:
20μL, 100μL
Reactivity:
SARS-CoV-2
Immunogen:
Recombinant protein (or fragment).This information is considered to be commercially sensitive.
Recommended starting concentration is 1 μg/mL. Please optimize the concentration based on your specific assay requirements.
Synonyms:
spike glycoprotein, SARS-CoV-2 Spike ECD
Positive Sample:
293T
Calculated MW:
141kDa
Observed MW:
110kDa/180kDa
Severe acute respiratory syndrome coronavirus 2 (SARS-CoV-2) is an enveloped, positive-sense, single-stranded RNA virus that causes coronavirus disease 2019 (COVID-19). Virus particles include the RNA genetic material and structural proteins needed for invasion of host cells. Once inside the cell the infecting RNA is used to encode structural proteins that make up virus particles, nonstructural proteins that direct virus assembly, transcription, replication and host control and accessory proteins whose function has not been determined.~ The structural proteins of SARS-CoV-2 include the envelope protein (E), spike or surface glycoprotein (S), membrane protein (M) and the nucleocapsid protein (N). The spike glycoprotein is found on the outside of the virus particle and gives coronavirus viruses their crown-like appearance. This glycoprotein mediates attachment of the virus particle and entry into the host cell. S protein is an important target for vaccine development, antibody therapies and diagnostic antigen-based tests.
Purification Method
Affinity purification
Gene ID
43740568
Buffer Information
Store at -20℃. Avoid freeze / thaw cycles. Buffer: PBS containing 50% glycerol, preserved with proclin300 or sodium azide, pH 7.3.
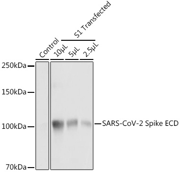
Western blot analysis of lysates from 293T cells, using SARS-CoV-2 Spike ECD Rabbit pAb (CAB20497) at 1:5000 dilution. Secondary antibody: HRP-conjugated Goat anti-Rabbit IgG (H+L) (CABS014) at 1:10000 dilution. Lysates/proteins: 25μg per lane. Blocking buffer: 3% nonfat dry milk in TBST. Detection: ECL Basic Kit (AbGn00020). Exposure time: 1s.
Western blot analysis of lysates from 293T cells, using SARS-CoV-2 Spike ECD Rabbit pAb (CAB20497) at 1:5000 dilution. Secondary antibody: HRP-conjugated Goat anti-Rabbit IgG (H+L) (CABS014) at 1:10000 dilution. Lysates/proteins: 25μg per lane. Blocking buffer: 3% nonfat dry milk in TBST. Detection: ECL Basic Kit (AbGn00020). Exposure time: 5s.