The SMOC1 Antibody (CAB20482) is a high-quality antibody developed for reliable detection and analysis of target proteins. This antibody, produced in rabbits, is highly specific to human samples and has been validated for use in Western blot applications. It specifically binds to the SMOC1 protein, enabling precise detection and analysis in a variety of cell types, making it an excellent choice for studies in developmental biology, tissue engineering, and regenerative medicine.
This antibody is validated for use in WB, IHC-P, ELISA applications and has demonstrated reactivity against Human, Mouse samples.
Product Name:
SMOC1 Antibody
SKU:
CAB20482
Size:
20μL, 100μL
Reactivity:
Human, Mouse
Conjugate:
Unconjugated
Immunogen:
Recombinant protein (or fragment).This information is considered to be commercially sensitive.
Recommended starting concentration is 1 μg/mL. Please optimize the concentration based on your specific assay requirements.
Synonyms:
OAS, SMOC1
Positive Sample:
Mouse liver
Cellular Localization:
Basement Membrane, Extracellular Space.
Calculated MW:
48kDa
Observed MW:
48kDa
This gene encodes a multi-domain secreted protein that may have a critical role in ocular and limb development. Mutations in this gene are associated with microphthalmia and limb anomalies. Alternatively spliced transcript variants encoding different isoforms have been found for this gene.
Purification Method
Affinity purification
Gene ID
64093
Buffer Information
Store at -20℃. Avoid freeze / thaw cycles. Buffer: PBS with 0.01% thimerosal,50% glycerol,pH7.3.
Western blot analysis of lysates from Mouse liver, using SMOC1 Rabbit pAb (CAB20482) at 1:1000 dilution. Secondary antibody: HRP-conjugated Goat anti-Rabbit IgG (H+L) (CABS014) at 1:10000 dilution. Lysates/proteins: 25μg per lane. Blocking buffer: 3% nonfat dry milk in TBST. Detection: ECL Basic Kit (AbGn00020). Exposure time: 10s.
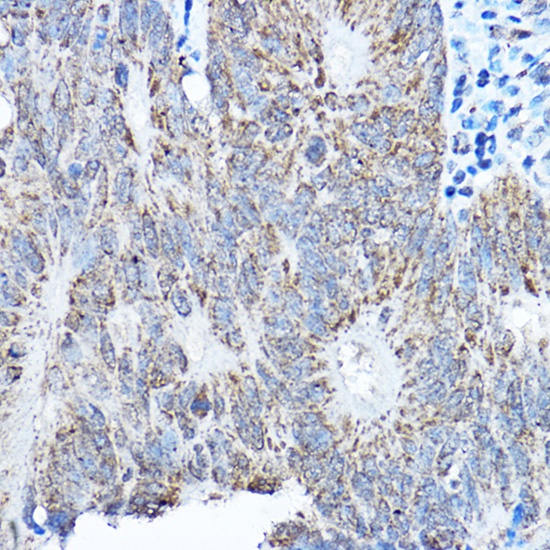
Immunohistochemistry analysis of paraffin-embedded Human colon carcinoma using SMOC1 Rabbit pAb (CAB20482) at dilution of 1:200 (40x lens). High pressure antigen retrieval performed with 0.01M Citrate buffer (pH 6.0) prior to IHC staining.