The ARHGAP4 Antibody (CAB18338) is a high-quality antibody developed for reliable detection and analysis of target proteins. This rabbit polyclonal antibody is highly specific for human samples and is validated for use in Western blot applications. By binding to the ARHGAP4 protein, this antibody enables the detection and analysis of ARHGAP4 in various cell types, making it essential for studies in cell biology and cancer research.ARHGAP4, also known as Rho GTPase-activating protein 4, plays a crucial role in the regulation of Rho GTPases, which are key regulators of cell morphology, migration, and proliferation. Dysregulation of ARHGAP4 has been implicated in cancer progression and metastasis, making it an important target for therapeutic intervention.
This antibody is validated for use in WB, IHC-P, IF/ICC, ELISA applications and has demonstrated reactivity against Human, Mouse, Rat samples.
Product Name:
ARHGAP4 Antibody
SKU:
CAB18338
Size:
20μL, 100μL
Reactivity:
Human, Mouse, Rat
Immunogen:
Synthetic peptide. This information is considered to be commercially sensitive.
Recommended starting concentration is 1 μg/mL. Please optimize the concentration based on your specific assay requirements.
Synonyms:
C1, RGC1, p115, SrGAP4, RhoGAP4, ARHGAP4
Positive Sample:
Jurkat
Cellular Localization:
Cytoplasm, Cytosol, Golgi Apparatus, Nucleoplasm.
Calculated MW:
105kDa
Observed MW:
105kDa
This gene encodes a member of the rhoGAP family of proteins which play a role in the regulation of small GTP-binding proteins belonging to the RAS superfamily. The protein encoded by the orthologous gene in rat is localized to the Golgi complex and can redistribute to microtubules. The rat protein stimulates the activity of some Rho GTPases in vitro. Genomic deletions of this gene and a neighboring gene have been found in patients with nephrogenic diabetes insipidus. Multiple transcript variants encoding different isoforms have been found for this gene.
Purification Method
Affinity purification
Gene ID
393
RRID
AB_2862109
Buffer Information
Store at -20℃. Avoid freeze / thaw cycles. Buffer: PBS with 0.01% thimerosal,50% glycerol,pH7.3.
Western blot analysis of lysates from Jurkat cells, using ARHGAP4 Rabbit pAb (CAB18338) at 1:1000 dilution. Secondary antibody: HRP-conjugated Goat anti-Rabbit IgG (H+L) (CABS014) at 1:10000 dilution. Lysates/proteins: 25μg per lane. Blocking buffer: 3% nonfat dry milk in TBST. Detection: ECL Basic Kit (AbGn00020). Exposure time: 90s.
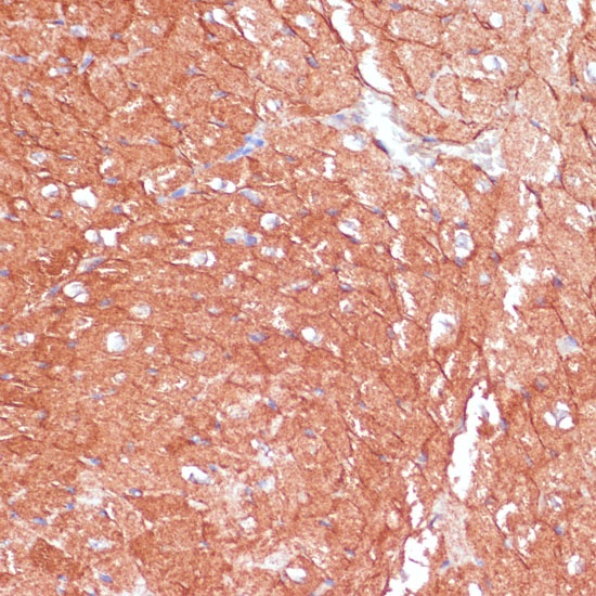
Immunohistochemistry analysis of paraffin-embedded Rat heart using ARHGAP4 Rabbit pAb (CAB18338) at dilution of 1:100 (40x lens). Microwave antigen retrieval performed with 0.01M PBS Buffer (pH 7.2) prior to IHC staining.
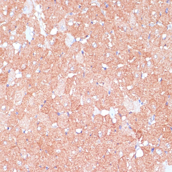
Immunohistochemistry analysis of paraffin-embedded Mouse heart using ARHGAP4 Rabbit pAb (CAB18338) at dilution of 1:100 (40x lens). Microwave antigen retrieval performed with 0.01M PBS Buffer (pH 7.2) prior to IHC staining.
Immunofluorescence analysis of L929 cells using ARHGAP4 Rabbit pAb (CAB18338) at dilution of 1:100. Secondary antibody: Cy3-conjugated Goat anti-Rabbit IgG (H+L) (CABS007) at 1:500 dilution. Blue: DAPI for nuclear staining.