The TCP1 alpha Monoclonal Antibody (CAB3887) is a high-quality antibody developed for reliable detection and analysis of target proteins. This antibody, raised in rabbits, is highly specific to human samples and has been validated for use in Western blot applications. By targeting the TCP1-alpha protein, researchers can accurately detect and analyze its expression in various cell types, making it an essential tool for studies in cell biology and neurology.TCP1-alpha, also known as CCT-alpha, plays a vital role in maintaining cellular structure and function by assisting in the folding of cytoskeletal proteins such as actin and tubulin.
This antibody is validated for use in WB, IHC-P, ELISA applications and has demonstrated reactivity against Human samples.
Product Name:
TCP1 alpha Monoclonal Antibody
SKU:
CAB3887
Size:
20μL, 100μL
Reactivity:
Human
Clone Number:
ARC0859
Conjugate:
Unconjugated
Immunogen:
Synthetic peptide. This information is considered to be commercially sensitive.
The protein encoded by this gene is a molecular chaperone that is a member of the chaperonin containing TCP1 complex (CCT), also known as the TCP1 ring complex (TRiC). This complex consists of two identical stacked rings, each containing eight different proteins. Unfolded polypeptides enter the central cavity of the complex and are folded in an ATP-dependent manner. The complex folds various proteins, including actin and tubulin. Alternate transcriptional splice variants of this gene, encoding different isoforms, have been characterized. In addition, three pseudogenes that appear to be derived from this gene have been found.
Purification Method
Affinity purification
Gene ID
6950
Buffer Information
Store at -20℃. Avoid freeze / thaw cycles. Buffer: PBS containing 50% glycerol and 0.05% BSA, preserved with proclin300 or sodium azide, pH 7.3.
Western blot analysis of lysates from Jurkat cells, using TCP1 alpha Rabbit mAb (CAB3887) at 1:1000 dilution. Secondary antibody: HRP-conjugated Goat anti-Rabbit IgG (H+L) (CABS014) at 1:10000 dilution. Lysates/proteins: 25μg per lane. Blocking buffer: 3% nonfat dry milk in TBST. Detection: ECL Basic Kit (AbGn00020). Exposure time: 180s.
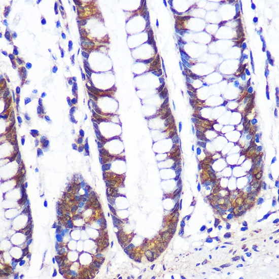
Immunohistochemistry analysis of paraffin-embedded Human colon using TCP1 alpha Rabbit mAb (CAB3887) at dilution of 1:100 (40x lens). Microwave antigen retrieval performed with 0.01M PBS Buffer (pH 7.2) prior to IHC staining.