The TCP1 beta/CCT2 Monoclonal Antibody (CAB4700) is a high-quality antibody developed for reliable detection and analysis of target proteins. This antibody, produced in rabbits, shows high reactivity with human samples and has been validated for use in various applications including Western blotting.TCP1-beta, also known as Cct2, plays a crucial role in the chaperonin-containing TCP1 (CCT) complex, which assists in the folding of cytosolic proteins. Dysregulation of TCP1-beta has been linked to various diseases, including neurodegenerative disorders and cancer, making it a promising target for therapeutic interventions.
This antibody is validated for use in WB, IHC-P, ELISA applications and has demonstrated reactivity against Human, Mouse, Rat samples.
Product Name:
TCP1 beta/CCT2 Monoclonal Antibody
SKU:
CAB4700
Size:
20μL, 100μL
Reactivity:
Human, Mouse, Rat
Clone Number:
ARC1097
Conjugate:
Unconjugated
Immunogen:
Synthetic peptide. This information is considered to be commercially sensitive.
The protein encoded by this gene is a molecular chaperone that is a member of the chaperonin containing TCP1 complex (CCT), also known as the TCP1 ring complex (TRiC). This complex consists of two identical stacked rings, each containing eight different proteins. Unfolded polypeptides enter the central cavity of the complex and are folded in an ATP-dependent manner. The complex folds various proteins, including actin and tubulin. Two transcript variants encoding different isoforms have been found for this gene.
Purification Method
Affinity purification
Gene ID
10576
RRID
AB_2863327
Buffer Information
Store at -20℃. Avoid freeze / thaw cycles. Buffer: PBS containing 50% glycerol and 0.05% BSA, preserved with proclin300 or sodium azide, pH 7.3.
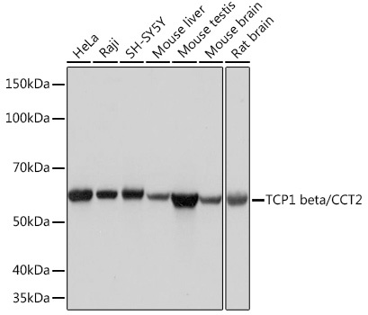
Western blot analysis of various lysates using TCP1 beta/CCT2 Rabbit mAb (CAB4700) at 1:1000 dilution. Secondary antibody: HRP-conjugated Goat anti-Rabbit IgG (H+L) (CABS014) at 1:10000 dilution. Lysates/proteins: 25μg per lane. Blocking buffer: 3% nonfat dry milk in TBST. Detection: ECL Basic Kit (AbGn00020). Exposure time: 3s.
Immunohistochemistry analysis of paraffin-embedded Rat brain using TCP1 beta/CCT2 Rabbit mAb (CAB4700) at dilution of 1:100 (40x lens). Microwave antigen retrieval performed with 0.01M PBS Buffer (pH 7.2) prior to IHC staining.