The TGN46/TGOLN2 Monoclonal Antibody (CAB19618) is a high-quality antibody developed for reliable detection and analysis of target proteins. This antibody, raised in rabbits, is validated for use in various applications, including Western blotting and immunofluorescence, making it an ideal choice for studies in cell biology and intracellular trafficking.TGN46/ Tgoln2 is a trans-Golgi network protein involved in protein trafficking and sorting within the cell. It plays a crucial role in the maintenance of organelle structure and function, making it a key target for research into cellular processes and disease mechanisms.
This antibody is validated for use in WB, IHC-P, ELISA applications and has demonstrated reactivity against Human samples.
Product Name:
TGN46/TGOLN2 Monoclonal Antibody
SKU:
CAB19618
Size:
20μL, 100μL
Reactivity:
Human
Clone Number:
ARC2197
Conjugate:
Unconjugated
Immunogen:
Synthetic peptide. This information is considered to be commercially sensitive.
Endoplasmic Reticulum Lumen, Endosome, Golgi Apparatus, Nucleoplasm, Plasma Membrane, Trans-Golgi Network, Trans-Golgi Network Transport Vesicle, Transport Vesicle.
Calculated MW:
46kDa
Observed MW:
90-100kDa
This gene encodes a type I integral membrane protein that is localized to the trans-Golgi network, a major sorting station for secretory and membrane proteins. The encoded protein cycles between early endosomes and the trans-Golgi network, and may play a role in exocytic vesicle formation. Alternatively spliced transcript variants encoding multiple isoforms have been observed for this gene.
Purification Method
Affinity purification
Gene ID
10618
Buffer Information
Store at -20℃. Avoid freeze / thaw cycles. Buffer: PBS containing 50% glycerol and 0.05% BSA, preserved with proclin300 or sodium azide, pH 7.3.
Western blot analysis of lysates from HeLa cells, using TGN46/TGOLN2 Rabbit mAb (CAB19618) at 1:1000 dilution. Secondary antibody: HRP-conjugated Goat anti-Rabbit IgG (H+L) (CABS014) at 1:10000 dilution. Lysates/proteins: 25μg per lane. Blocking buffer: 3% nonfat dry milk in TBST. Detection: ECL Basic Kit (AbGn00020). Exposure time: 1s.
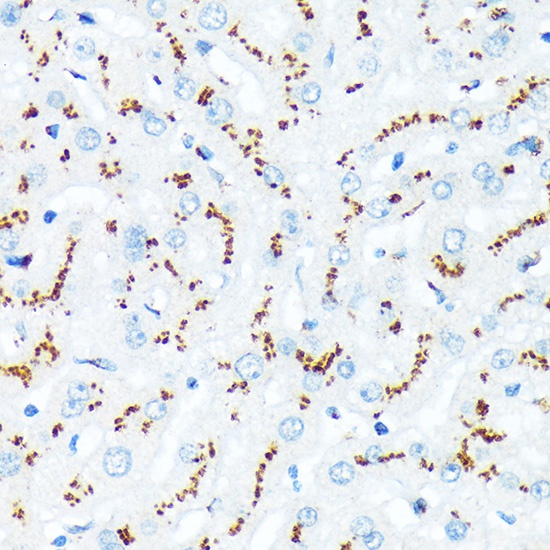
Immunohistochemistry analysis of paraffin-embedded Human liver using TGN46/TGOLN2 Rabbit mAb (CAB19618) at dilution of 1:100 (40x lens). Microwave antigen retrieval performed with 0.01M Tris/EDTA Buffer (pH 9.0) prior to IHC staining.