The UCHL3 Monoclonal Antibody (CAB1372) is a high-quality antibody developed for reliable detection and analysis of target proteins. This polyclonal antibody, generated in rabbits, exhibits strong reactivity with human samples and has been validated for use in Western blot applications. By binding specifically to the Uchl3 protein, this antibody enables accurate detection and analysis in a variety of cell types, making it well-suited for investigations in cell biology and neurodegenerative diseases.Uchl3 is a deubiquitinating enzyme that plays a crucial role in maintaining protein homeostasis by deubiquitinating and stabilizing target proteins. Dysregulation of Uchl3 has been implicated in the pathogenesis of neurodegenerative disorders such as Parkinson's disease and Alzheimer's disease, making it a promising therapeutic target for drug development.
This antibody is validated for use in WB, IHC-P, ELISA applications and has demonstrated reactivity against Human, Mouse, Rat samples.
Product Name:
UCHL3 Monoclonal Antibody
SKU:
CAB1372
Size:
20μL, 100μL
Reactivity:
Human, Mouse, Rat
Clone Number:
ARC1874
Conjugate:
Unconjugated
Immunogen:
Synthetic peptide. This information is considered to be commercially sensitive.
Recommended starting concentration is 1 μg/mL. Please optimize the concentration based on your specific assay requirements.
Synonyms:
UCH-L3, UCHL3
Positive Sample:
SW620, 293T, PC-12, C2C12, Jurkat, Mouse brain
Cellular Localization:
Cytoplasm.
Calculated MW:
26kDa
Observed MW:
26kDa
The protein encoded by this gene is a member of the deubiquitinating enzyme family. Members of this family are proteases that catalyze the removal of ubiquitin from polypeptides and are divided into five classes, depending on the mechanism of catalysis. This protein may hydrolyze the ubiquitinyl-N-epsilon amide bond of ubiquitinated proteins to regenerate ubiquitin for another catalytic cycle. Alternative splicing results in multiple transcript variants that encode different protein isoforms.
Purification Method
Affinity purification
Gene ID
7347
RRID
AB_2861695
Buffer Information
Store at -20℃. Avoid freeze / thaw cycles. Buffer: PBS containing 50% glycerol and 0.05% BSA, preserved with proclin300 or sodium azide, pH 7.3.
Western blot analysis of various lysates using UCHL3 Rabbit mAb (CAB1372) at 1:1000 dilution. Secondary antibody: HRP-conjugated Goat anti-Rabbit IgG (H+L) (CABS014) at 1:10000 dilution. Lysates/proteins: 25μg per lane. Blocking buffer: 3% nonfat dry milk in TBST. Detection: ECL Basic Kit (AbGn00020). Exposure time: 1s.
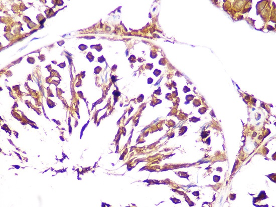
Immunohistochemistry analysis of paraffin-embedded Rat testis using UCHL3 Rabbit mAb (CAB1372) at dilution of 1:100 (40x lens). Microwave antigen retrieval performed with 0.01M Tris/EDTA Buffer (pH 9.0) prior to IHC staining.