The USP9Y Polyclonal Antibody (CAB20758) is a high-quality antibody developed for reliable detection and analysis of target proteins. This antibody, produced in rabbits, exhibits strong reactivity with human samples and has been validated for use in Western blot and immunohistochemistry applications.USP9Y, a member of the ubiquitin-specific protease family, is involved in various cellular processes including protein degradation and immune response regulation. Its role in modulating immune signaling pathways and inflammation makes it a promising target for studying immune-related diseases such as cancer and autoimmune disorders.
This antibody is validated for use in WB, IHC-P, IF/ICC, ELISA applications and has demonstrated reactivity against Human, Mouse, Rat samples.
Product Name:
USP9Y Polyclonal Antibody
SKU:
CAB20758
Size:
20μL, 100μL
Reactivity:
Human, Mouse, Rat
Conjugate:
Unconjugated
Immunogen:
Synthetic peptide. This information is considered to be commercially sensitive.
Recommended starting concentration is 1 μg/mL. Please optimize the concentration based on your specific assay requirements.
Synonyms:
DFFRY, SPGFY2, USP9X/USP9Y
Positive Sample:
HeLa, Mouse testis, Rat brain
Cellular Localization:
Cytoplasm, Cytosol, Nucleus.
Calculated MW:
291kDa
Observed MW:
291kDa
This gene is a member of the peptidase C19 family. It encodes a protein that is similar to ubiquitin-specific proteases, which cleave the ubiquitin moiety from ubiquitin-fused precursors and ubiquitinylated proteins.
Purification Method
Affinity purification
Gene ID
8287
Buffer Information
Store at -20℃. Avoid freeze / thaw cycles. Buffer: PBS containing 50% glycerol, preserved with proclin300 or sodium azide, pH 7.3.
Western blot analysis of various lysates using USP9X/USP9Y Rabbit pAb (CAB20758) at 1:500 dilution. Secondary antibody: HRP-conjugated Goat anti-Rabbit IgG (H+L) (CABS014) at 1:10000 dilution. Lysates / proteins: 25 μg per lane. Blocking buffer: 3 % nonfat dry milk in TBST. Detection: ECL Enhanced Kit (AbGn00021). Exposure time: 180s.
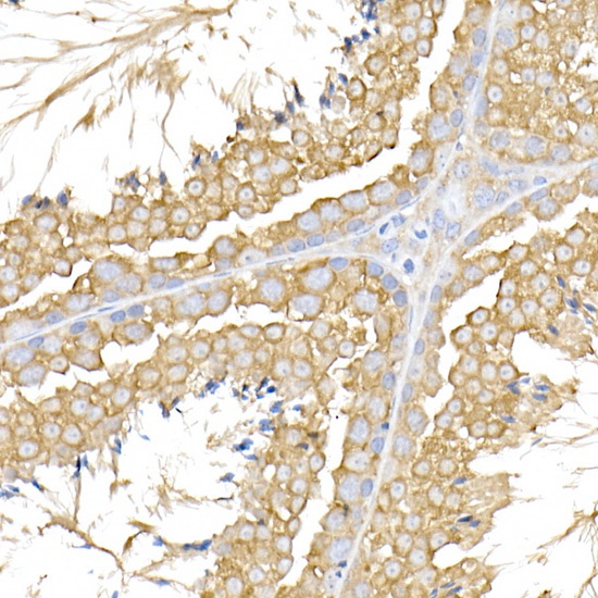
Immunohistochemistry analysis of paraffin-embedded Mouse testis tissue using USP9X/USP9Y Rabbit pAb (CAB20758) at a dilution of 1:100 (40x lens). High pressure antigen retrieval was performed with 0.01 M citrate buffer (pH 6.0) prior to IHC staining.
Immunofluorescence analysis of 293T cells using USP9X/USP9Y Rabbit pAb (CAB20758) at dilution of 1:100 (40x lens). Secondary antibody: Cy3-conjugated Goat anti-Rabbit IgG (H+L) (CABS007) at 1:500 dilution. Blue: DAPI for nuclear staining.
Immunofluorescence analysis of HepG2 cells using USP9X/USP9Y Rabbit pAb (CAB20758) at dilution of 1:100 (40x lens). Secondary antibody: Cy3-conjugated Goat anti-Rabbit IgG (H+L) (CABS007) at 1:500 dilution. Blue: DAPI for nuclear staining.
Immunofluorescence analysis of PC-12 cells using USP9X/USP9Y Rabbit pAb (CAB20758) at dilution of 1:100 (40x lens). Secondary antibody: Cy3-conjugated Goat anti-Rabbit IgG (H+L) (CABS007) at 1:500 dilution. Blue: DAPI for nuclear staining.