The VPS11 Monoclonal Antibody (CAB19798) is a high-quality antibody developed for reliable detection and analysis of target proteins. This antibody, raised in rabbits, is highly reactive with human samples and has been validated for use in various applications, including Western blot and immunohistochemistry.VPS11 plays a critical role in the sorting and recycling of proteins within cells, contributing to the regulation of cell growth, differentiation, and signaling. Dysregulation of VPS11 has been linked to various diseases, including neurodegenerative disorders and cancer.
This antibody is validated for use in WB, IHC-P, ELISA applications and has demonstrated reactivity against Human, Mouse samples.
Product Name:
VPS11 Monoclonal Antibody
SKU:
CAB19798
Size:
20μL, 100μL
Reactivity:
Human, Mouse
Clone Number:
ARC2325
Conjugate:
Unconjugated
Immunogen:
Synthetic peptide. This information is considered to be commercially sensitive.
Recommended starting concentration is 1 μg/mL. Please optimize the concentration based on your specific assay requirements.
Synonyms:
END1, PEP5, HLD12, RNF108, hVPS11, DYT32, VPS11
Positive Sample:
HeLa, A-431, Raji, Mouse testis, Mouse brain
Cellular Localization:
Autophagosome, Clathrin-Coated Vesicle, Corvet Complex, Early Endosome, Endosome, Late Endosome, Lysosome.
Calculated MW:
108kDa
Observed MW:
108kDa
Vesicle mediated protein sorting plays an important role in segregation of intracellular molecules into distinct organelles. Genetic studies in yeast have identified more than 40 vacuolar protein sorting (VPS) genes involved in vesicle transport to vacuoles. This gene encodes the human homolog of yeast class C Vps11 protein. The mammalian class C Vps proteins are predominantly associated with late endosomes/lysosomes, and like their yeast counterparts, may mediate vesicle trafficking steps in the endosome/lysosome pathway. Alternative splicing results in multiple transcript variants.
Purification Method
Affinity purification
Gene ID
55823
Buffer Information
Store at -20℃. Avoid freeze / thaw cycles. Buffer: PBS containing 50% glycerol and 0.05% BSA, preserved with proclin300 or sodium azide, pH 7.3.
Western blot analysis of various lysates using VPS11 Rabbit mAb (CAB19798) at 1:1000 dilution. Secondary antibody: HRP-conjugated Goat anti-Rabbit IgG (H+L) (CABS014) at 1:10000 dilution. Lysates/proteins: 25μg per lane. Blocking buffer: 3% nonfat dry milk in TBST. Detection: ECL Basic Kit (AbGn00020). Exposure time: 60s.
Western blot analysis of various lysates using VPS11 Rabbit mAb (CAB19798) at 1:1000 dilution. Secondary antibody: HRP-conjugated Goat anti-Rabbit IgG (H+L) (CABS014) at 1:10000 dilution. Lysates/proteins: 25μg per lane. Blocking buffer: 3% nonfat dry milk in TBST. Detection: ECL Basic Kit (AbGn00020). Exposure time: 180s.
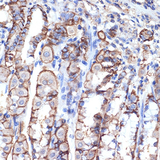
Immunohistochemistry analysis of paraffin-embedded Mouse stomach using VPS11 Rabbit mAb (CAB19798) at dilution of 1:100 (40x lens). Microwave antigen retrieval performed with 0.01M Tris/EDTA Buffer (pH 9.0) prior to IHC staining.