The ANTXR2 Antibody (CAB6526) is a high-quality antibody developed for reliable detection and analysis of target proteins. This antibody, produced in rabbits, exhibits high reactivity with human samples and has been validated for use in Western blot applications. By binding specifically to the ANTXR2 protein, this antibody enables the detection and analysis of ANTXR2 in various cell types, making it an excellent choice for studies in cell biology and cancer research.
This antibody is validated for use in WB, IHC-P, IF/ICC, ELISA applications and has demonstrated reactivity against Human, Mouse, Rat samples.
Product Name:
ANTXR2 Antibody
SKU:
CAB6526
Size:
20μL, 100μL
Reactivity:
Human, Mouse, Rat
Conjugate:
Unconjugated
Immunogen:
Recombinant protein (or fragment).This information is considered to be commercially sensitive.
Recommended starting concentration is 1 μg/mL. Please optimize the concentration based on your specific assay requirements.
Synonyms:
HFS, ISH, JHF, CMG2, CMG-2, ANTXR2
Positive Sample:
Mouse eye, Rat lung
Cellular Localization:
Cell Membrane, Endoplasmic Reticulum Membrane, Secreted, Single-Pass Type I Membrane Protein, Single-Pass Type I Membrane Protein.
Calculated MW:
54kDa
Observed MW:
54kDa
This gene encodes a receptor for anthrax toxin. The protein binds to collagen IV and laminin, suggesting that it may be involved in extracellular matrix adhesion. Mutations in this gene cause juvenile hyaline fibromatosis and infantile systemic hyalinosis. Multiple transcript variants encoding different isoforms have been found for this gene.
Purification Method
Affinity purification
Gene ID
118429
RRID
AB_2767119
Buffer Information
Store at -20℃. Avoid freeze / thaw cycles. Buffer: PBS with 0.09% Sodium azide,50% glycerol,pH7.3.
Western blot analysis of various lysates using ANTXR2 Rabbit pAb (CAB6526) at 1:1000 dilution. Secondary antibody: HRP-conjugated Goat anti-Rabbit IgG (H+L) (CABS014) at 1:10000 dilution. Lysates/proteins: 25μg per lane. Blocking buffer: 3% nonfat dry milk in TBST. Detection: ECL Basic Kit (AbGn00020). Exposure time: 5s.
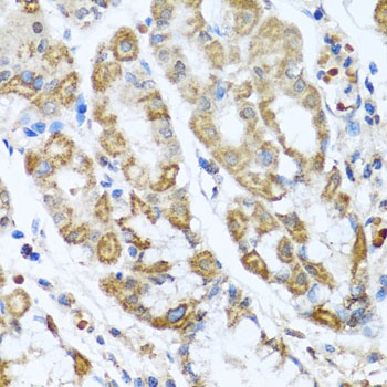
Immunohistochemistry analysis of paraffin-embedded Human stomach using ANTXR2 Rabbit pAb (CAB6526) at dilution of 1:100 (40x lens). Microwave antigen retrieval performed with 0.01M PBS Buffer (pH 7.2) prior to IHC staining.