The AP1M1 Polyclonal Antibody (CAB10129) is a valuable tool for studying AP1M1, a key protein involved in intracellular protein trafficking and vesicle formation. This antibody, produced in rabbits, has high specificity for human samples and is suitable for use in Western blot applications. By targeting AP1M1, researchers can analyze protein localization and trafficking mechanisms in various cell types, providing insights into cellular processes such as receptor recycling and secretion.AP1M1, a subunit of the adaptor protein complex 1 (AP-1), plays a crucial role in sorting proteins into vesicles for transport between intracellular compartments.
Dysregulation of AP1M1 function has been associated with various diseases, including neurodevelopmental disorders and cancer. Studying AP1M1 using this antibody can shed light on its role in disease pathogenesis and identify potential targets for therapeutic intervention.In summary, the AP1M1 Polyclonal Antibody is a valuable tool for researchers interested in investigating the function and regulation of AP1M1 in cellular processes and disease states. Its high specificity and reliability make it an essential component for studies in cell biology, neurobiology, and cancer research.
Product Name:
AP1M1 Rabbit Polyclonal Antibody
SKU:
CAB10129
Size:
20uL, 100uL
Isotype:
IgG
Host Species:
Rabbit
Reactivity:
Human,Mouse,Rat
Immunogen:
Recombinant fusion protein containing a sequence corresponding to amino acids 1-160 of human AP1M1 (NP_115882.1).
The protein encoded by this gene is the medium chain of the trans-Golgi network clathrin-associated protein complex AP-1. The other components of this complex are beta-prime-adaptin, gamma-adaptin, and the small chain AP1S1. This complex is located at the Golgi vesicle and links clathrin to receptors in coated vesicles. These vesicles are involved in endocytosis and Golgi processing. Alternatively spliced transcript variants encoding distinct protein isoforms have been found for this gene.
Purification Method:
Affinity purification
Gene ID:
8907
Storage Buffer:
Store at -20℃. Avoid freeze / thaw cycles.Buffer: PBS with 0.05% proclin300,50% glycerol,pH7.3.
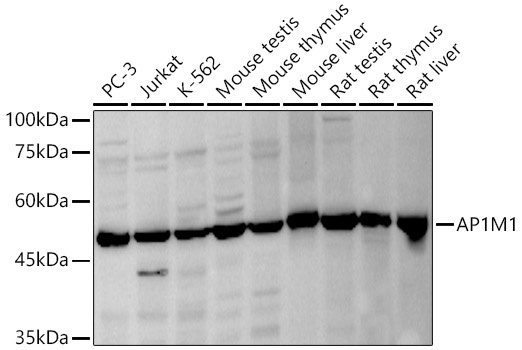
Western blot analysis of various lysates, using AP1M1 antibody (CAB10129) at 1:1000 dilution.Secondary antibody: HRP Goat Anti-Rabbit IgG (H+L) (CABS014) at 1:10000 dilution.Lysates/proteins: 25μg per lane.Blocking buffer: 3% nonfat dry milk in TBST.Detection: ECL Basic Kit (AbGn00020).Exposure time: 30s.