The AP3B1 Antibody (CAB7019) is a high-quality antibody developed for reliable detection and analysis of target proteins. This antibody, developed through immunization of rabbits, demonstrates high reactivity with human samples and is validated for use in Western blot applications. By specifically binding to the AP3B1 protein, researchers can accurately detect and analyze its expression in a variety of cell types.AP3B1 plays a crucial role in sorting proteins to their correct destinations within the cell, making it essential for proper cellular function. Dysregulation of AP3B1 has been linked to various diseases, including Hermansky-Pudlak syndrome and some types of cancer.
This antibody is validated for use in WB, IHC-P, ELISA applications and has demonstrated reactivity against Human, Mouse, Rat samples.
Product Name:
AP3B1 Antibody
SKU:
CAB7019
Size:
20μL, 100μL
Reactivity:
Human, Mouse, Rat
Conjugate:
Unconjugated
Immunogen:
Recombinant protein (or fragment).This information is considered to be commercially sensitive.
This gene encodes a protein that may play a role in organelle biogenesis associated with melanosomes, platelet dense granules, and lysosomes. The encoded protein is part of the heterotetrameric AP-3 protein complex which interacts with the scaffolding protein clathrin. Mutations in this gene are associated with Hermansky-Pudlak syndrome type 2. Two transcript variants encoding different isoforms have been found for this gene.
Purification Method
Affinity purification
Gene ID
8546
RRID
AB_2767575
Buffer Information
Store at -20℃. Avoid freeze / thaw cycles. Buffer: PBS containing 50% glycerol, preserved with proclin300 or sodium azide, pH 7.3.
Western blot analysis of various lysates using AP3B1 Rabbit pAb (CAB7019) at 1:1000 dilution. Secondary antibody: HRP-conjugated Goat anti-Rabbit IgG (H+L) (CABS014) at 1:10000 dilution. Lysates/proteins: 25μg per lane. Blocking buffer: 3% nonfat dry milk in TBST. Detection: ECL Basic Kit (AbGn00020). Exposure time: 90s.
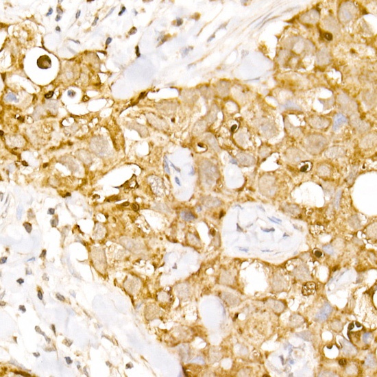
Immunohistochemistry analysis of paraffin-embedded Human breast cancer using AP3B1 Rabbit pAb (CAB7019) at dilution of 1:100 (40x lens). High pressure antigen retrieval performed with 0.01M Citrate buffer (pH 6.0) prior to IHC staining.
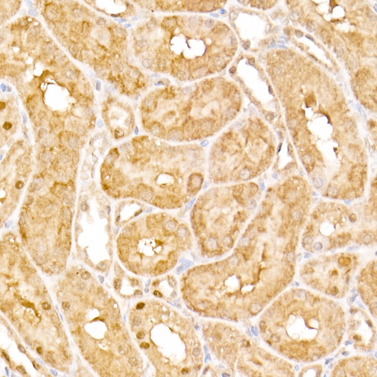
Immunohistochemistry analysis of paraffin-embedded Rat kidney using AP3B1 Rabbit pAb (CAB7019) at dilution of 1:100 (40x lens). High pressure antigen retrieval performed with 0.01M Citrate buffer (pH 6.0) prior to IHC staining.