Description
APITD1 Antibody (CAB8293)
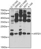
The APITD1 Antibody (CAB8293) is a high-quality antibody developed for reliable detection and analysis of target proteins. This antibody is raised in rabbits and exhibits high reactivity with human samples, making it ideal for use in Western blot applications. By binding to the APITD1 protein, this antibody enables the detection and analysis of APITD1 in various cell types, providing valuable insights for studies in cancer research and cell biology.
This antibody is validated for use in WB, ELISA applications and has demonstrated reactivity against Human samples.
| Product Name: | APITD1 Antibody |
| SKU: | CAB8293 |
| Size: | 20μL, 100μL |
| Reactivity: | Human |
| Conjugate: | Unconjugated |
| Immunogen: | Recombinant protein (or fragment).This information is considered to be commercially sensitive. | ||||
| Sequence: | MEEE AETE EQQR FSYQ QRLK AAVH YTVG CLCE EVAL DKEM QFSK QTIA AISE LTFR QCEN FAKD LEMF ARHA KRTT INTE DVKL LARR SNSL LKYI TDKS EEIA QINL ERKA QKKK KSED GSKN SRQP AEAG VVES EN | ||||
| Tested Applications: | WB ELISA | ||||
| Recommended Dilution: |
| ||||
| Synonyms: | MHF1, APITD1, CENP-S, FAAP16 |
| Positive Sample: | U-251MG, SW620, NCI-H460, MCF7, A-549 |
| Cellular Localization: | Chromosome, Nucleus, Centromere, Kinetochore. |
| Calculated MW: | 16kDa |
| Observed MW: | 16kDa |
This gene was identified in the neuroblastoma tumor suppressor candidate region on chromosome 1p36. It contains a TFIID-31 domain, similar to that found in TATA box-binding protein-associated factor, TAF(II)31, which is required for p53-mediated transcription activation. This gene was expressed at very low levels in neuroblastoma tumors, and was shown to reduce cell growth in neuroblastoma cells, suggesting that it may have a role in a cell death pathway. The protein is a component of multiple complexes, including the Fanconi anemia (FA) core complex, the APITD1/CENPS complex, and the CENPA-CAD (nucleosome distal) complex. Known functions include an involvement with chromatin associations of the FA core complex, and a role in the stable assembly of the outer kinetochore. Alternative splicing of this gene results in multiple transcript variants. Naturally occurring read-through transcripts also exist between this gene and the downstream cortistatin (CORT) gene, as represented in GeneID:100526739. An APITD1-related pseudogene has been identified on chromosome 7.
| Purification Method | Affinity purification |
| Gene ID | 378708 |
| RRID | AB_2768391 |
| Buffer Information | Store at -20℃. Avoid freeze / thaw cycles. Buffer: PBS containing 50% glycerol, preserved with proclin300 or sodium azide, pH 7.3. |
