The APOA1 Antibody (CAB1129) is a high-quality antibody developed for reliable detection and analysis of target proteins. This antibody, raised in rabbits, exhibits high specificity and sensitivity for human samples, making it an ideal choice for Western blot and immunohistochemistry applications.Apolipoprotein A-I is known for its role in reverse cholesterol transport, promoting the removal of excess cholesterol from peripheral tissues and transporting it back to the liver for excretion.
This antibody is validated for use in WB, IHC-P, IF/ICC, ELISA applications and has demonstrated reactivity against Human, Mouse, Rat samples.
Product Name:
APOA1 Antibody
SKU:
CAB1129
Size:
20μL, 100μL
Reactivity:
Human, Mouse, Rat
Conjugate:
Unconjugated
Immunogen:
Recombinant protein (or fragment).This information is considered to be commercially sensitive.
Recommended starting concentration is 1 μg/mL. Please optimize the concentration based on your specific assay requirements.
Synonyms:
HPALP2, apo(a), APOA1
Positive Sample:
Hep G2, Mouse plasma, Mouse liver, Rat liver, Rat plasma
Cellular Localization:
Secreted.
Calculated MW:
28kDa
Observed MW:
29kDa
This gene encodes apolipoprotein A-I, which is the major protein component of high density lipoprotein (HDL) in plasma. The encoded preproprotein is proteolytically processed to generate the mature protein, which promotes cholesterol efflux from tissues to the liver for excretion, and is a cofactor for lecithin cholesterolacyltransferase (LCAT), an enzyme responsible for the formation of most plasma cholesteryl esters. This gene is closely linked with two other apolipoprotein genes on chromosome 11. Defects in this gene are associated with HDL deficiencies, including Tangier disease, and with systemic non-neuropathic amyloidosis. Alternative splicing results in multiple transcript variants, at least one of which encodes a preproprotein.
Purification Method
Affinity purification
Gene ID
335
RRID
AB_2758494
Buffer Information
Store at -20℃. Avoid freeze / thaw cycles. Buffer: PBS containing 50% glycerol, preserved with proclin300 or sodium azide, pH 7.3.
Western blot analysis of various lysates, using APOA1 Rabbit pAb (CAB1129) at 1:2000 dilution. Secondary antibody: HRP-conjugated Goat anti-Rabbit IgG (H+L) (CABS014) at 1:10000 dilution. Lysates/proteins: 25μg per lane. Blocking buffer: 3% nonfat dry milk in TBST. Detection: ECL Basic Kit (AbGn00020). Negative control (NC): HAP1 Exposure time: 180s.
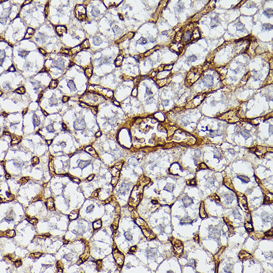
Immunohistochemistry analysis of paraffin-embedded Mouse liver using APOA1 Rabbit pAb (CAB1129) at dilution of 1:20 (40x lens). High pressure antigen retrieval performed with 0.01M Citrate buffer (pH 6.0) prior to IHC staining.