The APPL1 Antibody (CAB4606) is a high-quality antibody developed for reliable detection and analysis of target proteins. The protein encoded by this gene has been shown to be involved in the regulation of cell proliferation, and in the crosstalk between the adiponectin signalling and insulin signalling pathways. The encoded protein binds many other proteins, including RAB5A, DCC, AKT2, PIK3CA, adiponectin receptors, and proteins of the NuRD/MeCP1 complex. This protein is found associated with endosomal membranes, but can be released by EGF and translocated to the nucleus. RRID AB_2765780 Gene ID 26060 Swiss Prot Synonym APPL; MODY14; DIP13alpha; APPL1
This antibody is validated for use in WB, ELISA applications and has demonstrated reactivity against Human, Mouse, Rat samples.
Product Name:
APPL1 Antibody
SKU:
CAB4606
Size:
100μL, 20μL
Reactivity:
Human, Mouse, Rat
Clone Number:
-
Conjugate:
Unconjugated
Immunogen:
Recombinant protein (or fragment).This information is considered to be commercially sensitive.
Tested Applications:
WBELISA
Recommended Dilution:
WB
1:500 - 1:2000
ELISA
Recommended starting concentration is 1 μg/mL. Please optimize the concentration based on your specific assay requirements.
Synonyms:
APPL, MODY14, DIP13alpha, APPL1
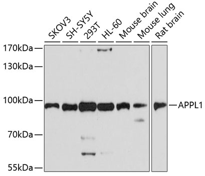
Positive Sample:
SKOV3, SH-SY5Y, 293T, HL-60, Mouse brain, Mouse lung, Rat brain
Cellular Localization:
Early Endosome Membrane, Nucleus, Peripheral Membrane Protein.
Calculated MW:
80kDa
Observed MW:
95kDa
The protein encoded by this gene has been shown to be involved in the regulation of cell proliferation, and in the crosstalk between the adiponectin signalling and insulin signalling pathways. The encoded protein binds many other proteins, including RAB5A, DCC, AKT2, PIK3CA, adiponectin receptors, and proteins of the NuRD/MeCP1 complex. This protein is found associated with endosomal membranes, but can be released by EGF and translocated to the nucleus. RRID AB_2765780 Gene ID 26060 Swiss Prot Synonym APPL; MODY14; DIP13alpha; APPL1
Purification Method:
Affinity purification
Gene ID:
26060
RRID:
AB_2765780
Buffer Information:
Store at -20℃. Avoid freeze / thaw cycles. Buffer: PBS containing 50% glycerol, preserved with proclin300 or sodium azide, pH 7.3.
Western blot analysis of various lysates using APPL1 Rabbit pAb (CAB4606) at 1:1000 dilution. Secondary antibody: HRP-conjugated Goat anti-Rabbit IgG (H+L) (AS014) at 1:10000 dilution. Lysates/proteins: 25μg per lane. Blocking buffer: 3% nonfat dry milk in TBST. Detection: ECL Basic Kit (AbGn00020). Exposure time: 90s.