The AQR Antibody (CAB6011) is a high-quality antibody developed for reliable detection and analysis of target proteins. This antibody, produced in rabbits, is highly reactive with human samples and has been validated for use in Western blot applications. By binding to the CD300A protein, this antibody enables precise detection and analysis in a variety of cell types, making it an essential tool for studies in immunology and cancer research.CD300A, also known as an immune inhibitory receptor, is involved in regulating inflammation and inhibiting allergic reactions, making it a key player in maintaining immune homeostasis. Its importance in modulating immune responses has made it a valuable target for research into diseases such as cancer, autoimmune disorders, and chronic inflammatory conditions.
This antibody is validated for use in WB, IHC-P, ELISA applications and has demonstrated reactivity against Human, Mouse, Rat samples.
Product Name:
AQR Antibody
SKU:
CAB6011
Size:
20μL, 100μL
Reactivity:
Human, Mouse, Rat
Conjugate:
Unconjugated
Immunogen:
Recombinant protein (or fragment).This information is considered to be commercially sensitive.
Recommended starting concentration is 1 μg/mL. Please optimize the concentration based on your specific assay requirements.
Synonyms:
IBP160, fSAP164, AQR
Positive Sample:
HepG2, HeLa, A-549, MCF7, Jurkat
Cellular Localization:
Nucleus.
Calculated MW:
171kDa
Observed MW:
171kDa
Enables 3'-5' RNA helicase activity and single-stranded RNA binding activity. Involved in mRNA splicing, via spliceosome. Located in nucleoplasm. Part of U2-type catalytic step 2 spliceosome.
Purification Method
Affinity purification
Gene ID
9716
RRID
AB_2766712
Buffer Information
Store at -20℃. Avoid freeze / thaw cycles. Buffer: PBS with 0.01% thimerosal,50% glycerol,pH7.3.
Western blot analysis of various lysates using AQR Rabbit pAb (CAB6011) at 1:3000 dilution. Secondary antibody: HRP-conjugated Goat anti-Rabbit IgG (H+L) (CABS014) at 1:10000 dilution. Lysates/proteins: 25μg per lane. Blocking buffer: 3% nonfat dry milk in TBST. Detection: ECL Basic Kit (AbGn00020). Exposure time: 40s.
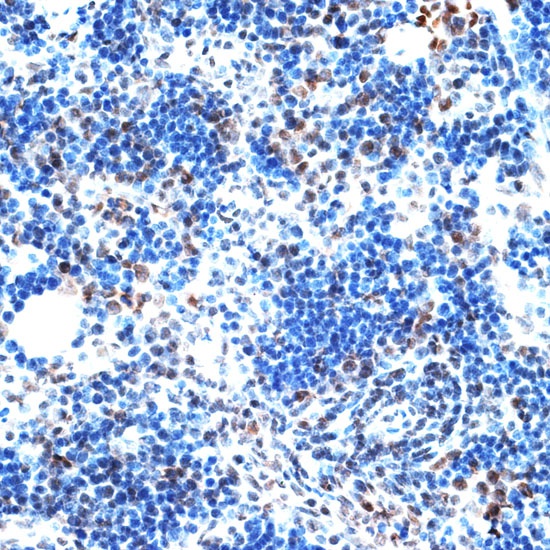
Immunohistochemistry analysis of paraffin-embedded Rat spleen using AQR Rabbit pAb (CAB6011) at dilution of 1:100 (40x lens). Microwave antigen retrieval performed with 0.01M PBS Buffer (pH 7.2) prior to IHC staining.
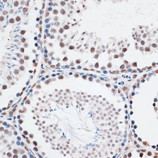
Immunohistochemistry analysis of paraffin-embedded Mouse testis using AQR Rabbit pAb (CAB6011) at dilution of 1:100 (40x lens). Microwave antigen retrieval performed with 0.01M PBS Buffer (pH 7.2) prior to IHC staining.